Blog / Clinical Cases / Beautiful anterior smile with 3M™ Filtek™ Easy Match Universal Restorative

Brain Floss Blog


July 7, 2025

Clinical Case: Beautiful anterior smile with 3M™ Filtek™ Easy Match Universal Restorative

Using 3M™ Filtek™ Easy Match Universal Restorative, 3M™ Scotchbond™ Universal Plus Adhesive, 3M™ Sof-Lex™ XT Discs, and 3M™ Sof-Lex™ Diamond Polishing Spirals.


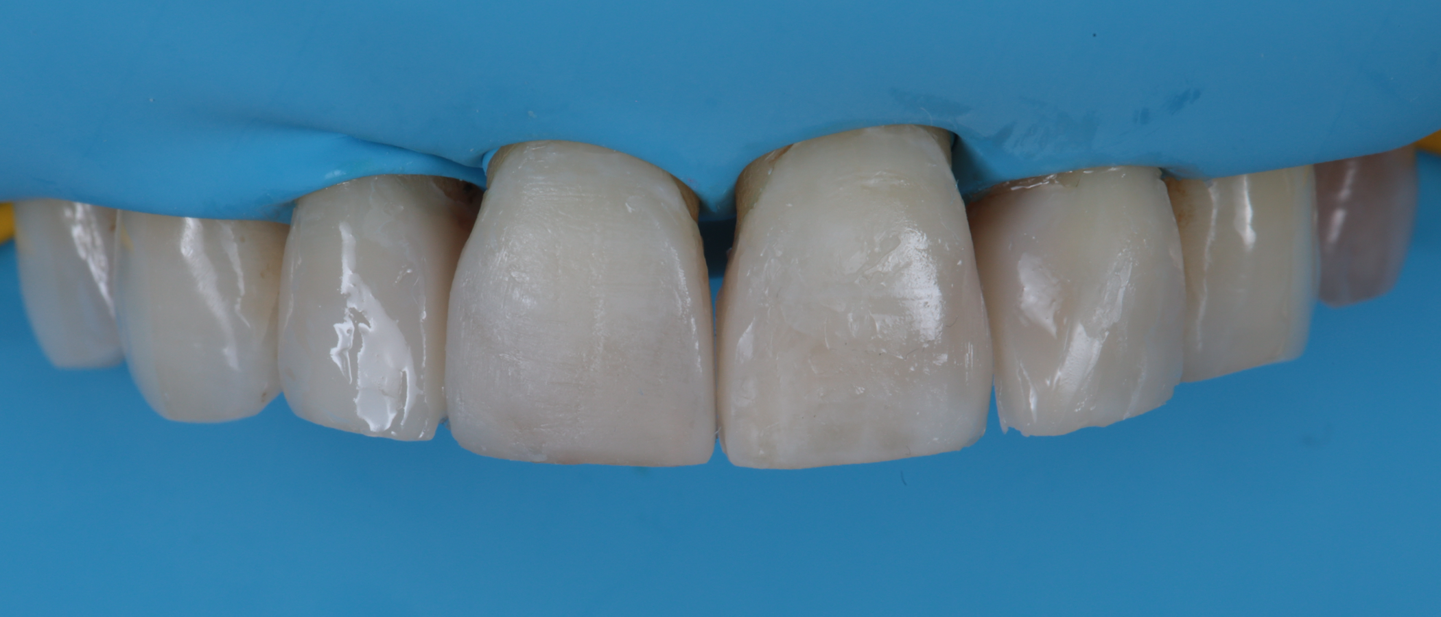
hero image

About the Case

This patient came in to improve the appearance of his smile and presented with failed and failing restorations. Using 3M™ Filtek™ Easy Match Universal Restorative, a beautiful, harmonious smile was restored using only one shade.

Initial situation

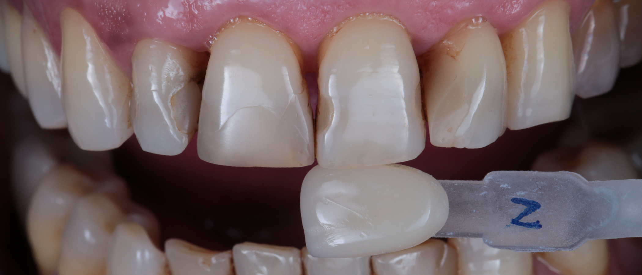
Using a custom shade guide, shade was matched to Natural, before placing a rubber dam

Restorations were removed, and bevels were placed in the enamel. The Class III preparations involve the buccal aspect

Adjacent teeth are protected with PTFE tape, and the teeth are etched with phosphoric acid etch

3M™ Scotchbond™ Universal Plus Adhesive is applied for 20 seconds with a microbrush, then air dried and cured

Using mylar strips, 3M™ Filtek™ Easy Match Universal Restorative, Natural shade is placed in the preparations, and cured in 2 mm increments

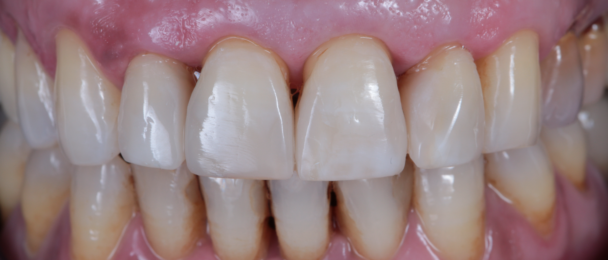
Final result before finishing and polishing

3M™ Sof-Lex™ XT Discs are used to finish the restorations, removing gross excess and defining embrasures and line angles

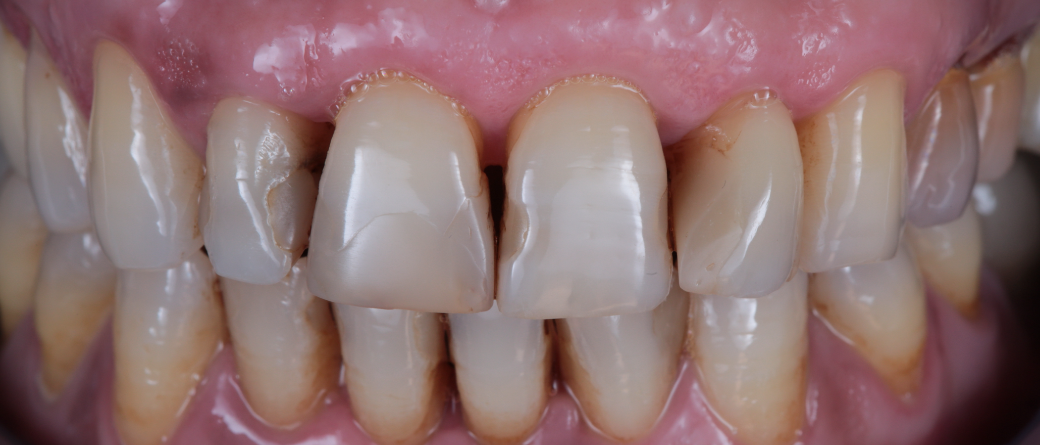
A high-gloss finish is achieved using 3M™ Sof-Lex™ Diamond Polishing Spirals

Natural looking, final result

Become a part of our Brain Floss blog family and share your clinical case, your insights and your skills with this great community .

We are looking forward to hearing from you!!

The following products were used


Recommended for you


post preview image

Clinical Case: Functional polyether impressions for removable dentures

post preview image

Clinical Case: Narrow Class II restorations with 3M™ Filtek™ Easy Match Universal Restorative

post preview image

Clinical Case: Total-etch adhesive cementation of a zirconia Maryland bridge

post preview image

Choosing Composite Shades in Restorative Dentistry: A Practical Guide