Blog / Clinical Cases / Class IV Restorations with 3M™ Filtek™ Easy Match Universal Restorative

Brain Floss Blog


December 22, 2025

Clinical Case: Class IV Restorations with 3M™ Filtek™ Easy Match Universal Restorative

Using 3M™ Filtek™ Easy Match Universal Restorative.


hero image

About the Case

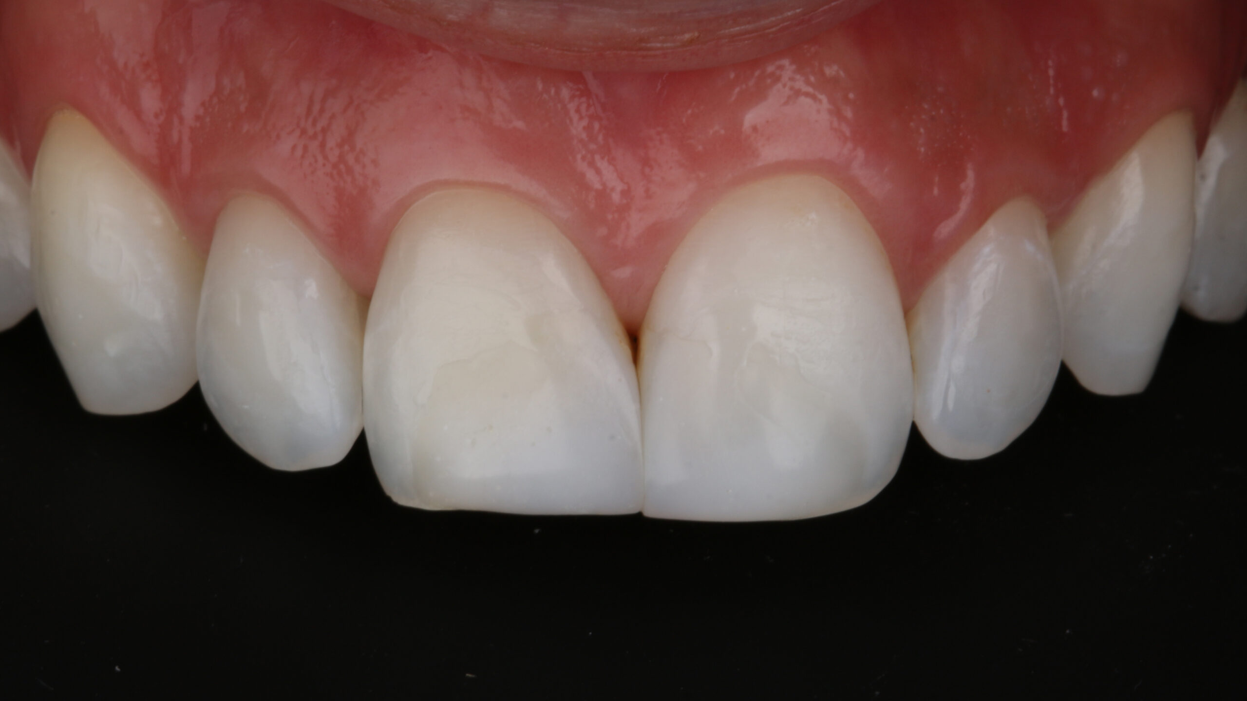
Patient LS, 28 years old, presented unsatisfactory Class IV restorations with respect to shape. Also, the polishing and resin volume were incorrect.

The biggest challenge was to carry out a Class IV restoration with just a single shade and achieve a satisfactory level of opacity, in addition to efficiently hiding the joint line (bevel) of the restorations.

3M™ Filtek™ Easy Match Universal Restorative.

Initial clinical case (smile and intra-oral photo).

Shade selection among the most suitable options for 3M™ Filtek™ Easy Match Universal Restorative. In tooth 11, the resin button is Natural shade, while in tooth 21, the resin button was Bright. The shade selected for this case was Bright.

Absolute isolation with rubber dam and application of 3M™ Scotchbond™ Universal Plus adhesive.

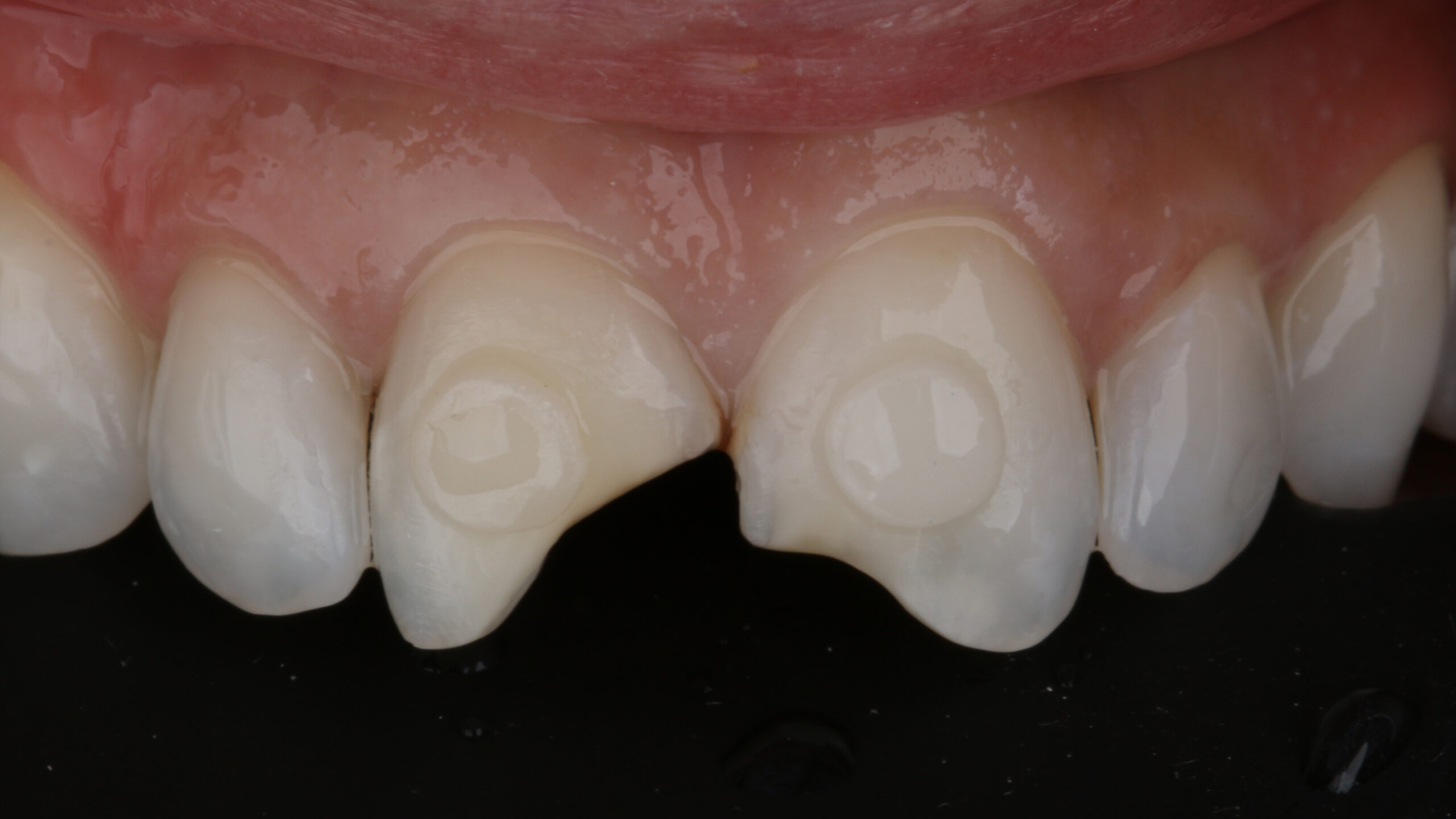
We begin the Class IV restorations in teeth 11 and 21, with the application of palatal enamel using a silicone guide. After positioning the guide in the mouth, check the adaptation and the material was light-cured. The image shows the appearance after the application of the 3M™ Filtek™ Easy Match Universal Restorative Bright shade for the reconstruction of palatal enamel.

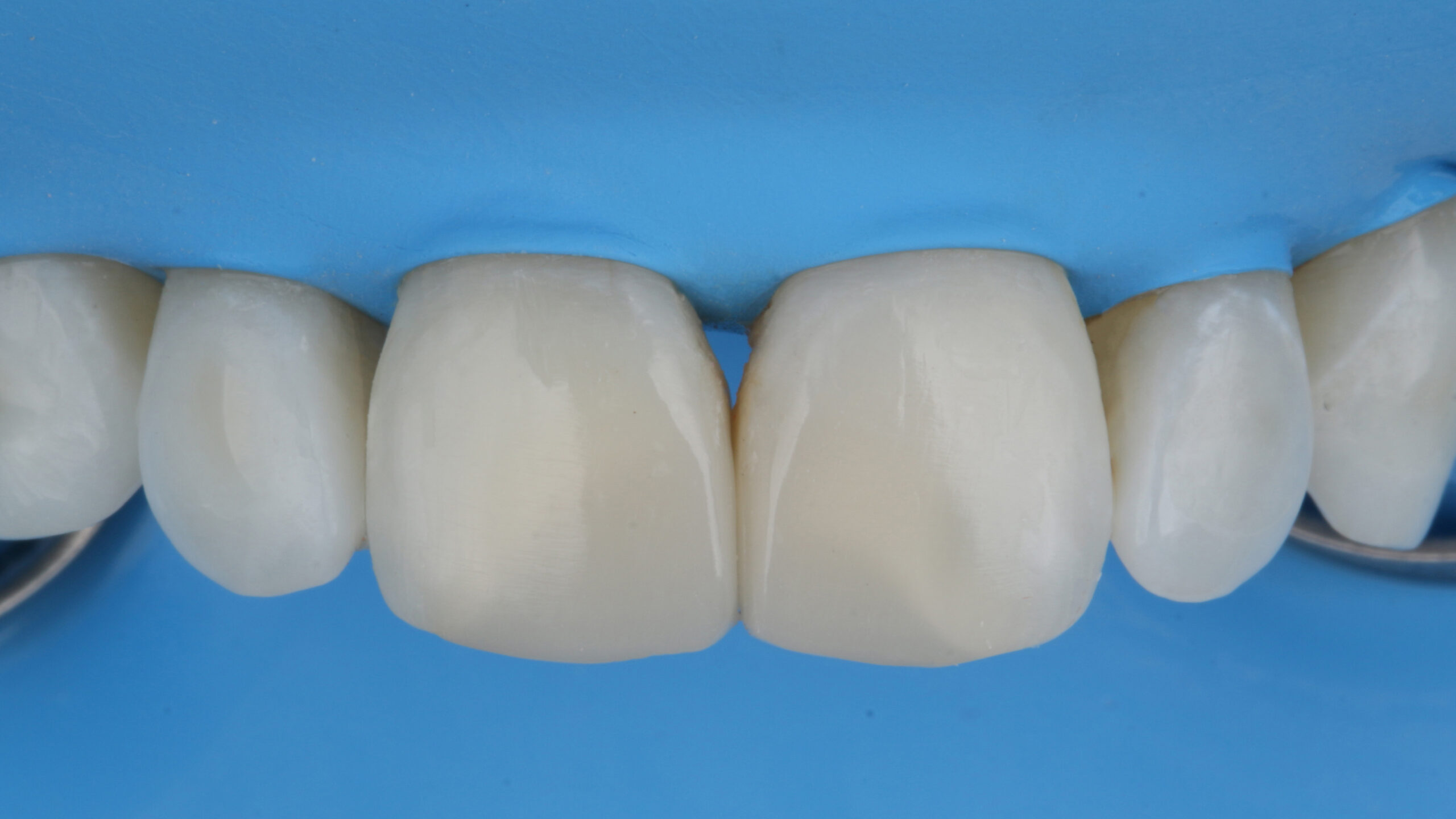
Application of the same material 3M™ Filtek™ Easy Match Universal Restorative, (Bright shade), for the rest of the restoration, following the concept of a single shade, therefore applied in 2 stages for this restorative procedure.

Finishing with 3M™ Sof-Lex™ Pop-On discs medium and polishing with 3M™ Sof-Lex™ Spiral discs - beige and pink, finalizing with a felt disc.

Immediate result with absolute isolation. Note that the teeth are dehydrated and the restorations are still visible.

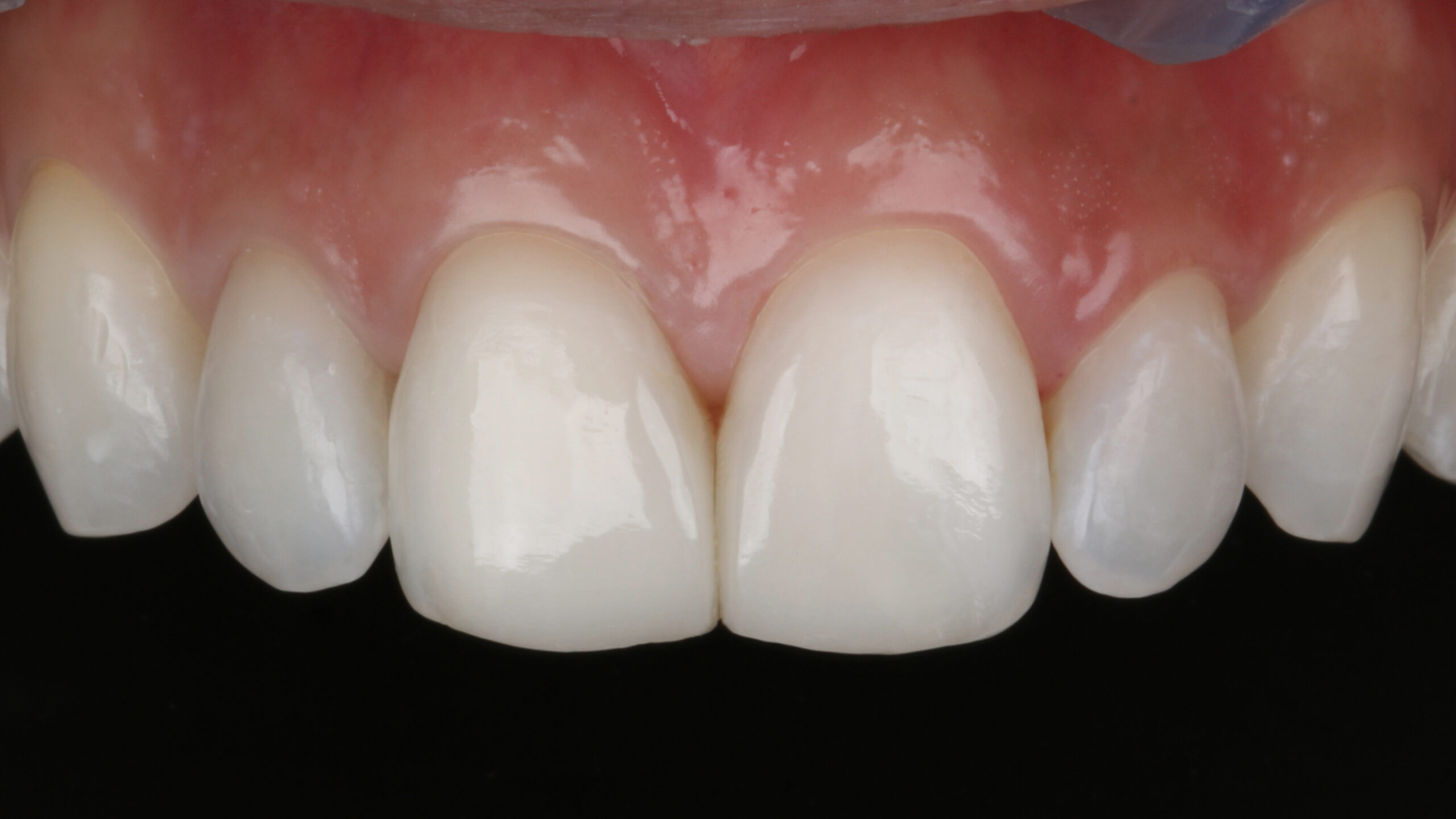
Final clinical case after 1 week (intra-oral photo and smile).

Become a part of our Brain Floss blog family and share your clinical case, your insights and your skills with this great community .

We are looking forward to hearing from you!!

The following products were used


Recommended for you


post preview image

Clinical Case: Bonding of a glass-ceramic overlay

post preview image

Clinical Case: Endocrown cementation with 3M™ RelyX™ Universal Resin Cement and 3M™ Scotchbond™ Universal Plus Adhesive

post preview image

Clinical Case: Post-orthodontic esthetic refinement with 3M™ Filtek™ Easy Match Universal Restorative

post preview image

Clinical Case: Restore form and function in extensive root caries with Solventum™ Filtek™ Easy Match Flowable Restorative