Blog / Clinical Cases / Composites made easy

Brain Floss Blog


June 23, 2025

Clinical Case: Composites made easy

Using 3M™ Filtek™ Easy Match Universal Restorative.


hero image

About the Case

Today, patients’ aesthetic demands are constantly increasing, thanks to the emergence of new restorative techniques that are less invasive and, above all, just as durable as those that use time-consuming dental materials.

The greatest challenge for practitioners lies in the choice of color for composites, in order to make the final restoration as biomimetic as possible. The composite itself, the brand and its final appearance are all difficulties to overcome when you’re not used to this kind of practice.

Tooth color depends on:

  • Value
  • Chroma
  • Hue

How to simplify the act and the choice of composite?

Solventum (formerly 3M Health Care) is now offering its new 3M™ Filtek™ Easy Match composite, which will change the game by allowing us to choose from just 3 shades:

  • Natural: covers A2, A3, C2, D3 and D4 shades. Chroma and value are balanced.
  • Warm: covers A3.5, A4, B3, B4, C3 and C4 shades. High chroma and low value for more saturated teeth. Very useful for most cervical restorations.
  • Bright: covers Bleach, A1, B1, B2, C1 and C2 shades. Low chroma and high value for whiter teeth.

Based on a 3-shade range whose opacity adapts naturally, the practitioner is guided and assisted in his choice for a more predictable and reproducible result. In most cases, Natural covers a wide range of shades.

The choice will therefore be made intuitively, according to the patient’s main shade, focusing on the most opaque part of the tooth.

It is also possible to mix the 3 shades together for more complex shades, for example, using Warm for cervical area, dentin replacement with Natural and Bright for the incisal edge.

In summary, the 3M™ Filtek™ Easy Match simplifies and streamlines shade selection in the majority of clinical situations, while giving a versatility rich enough to manage many shades in everyday practice.

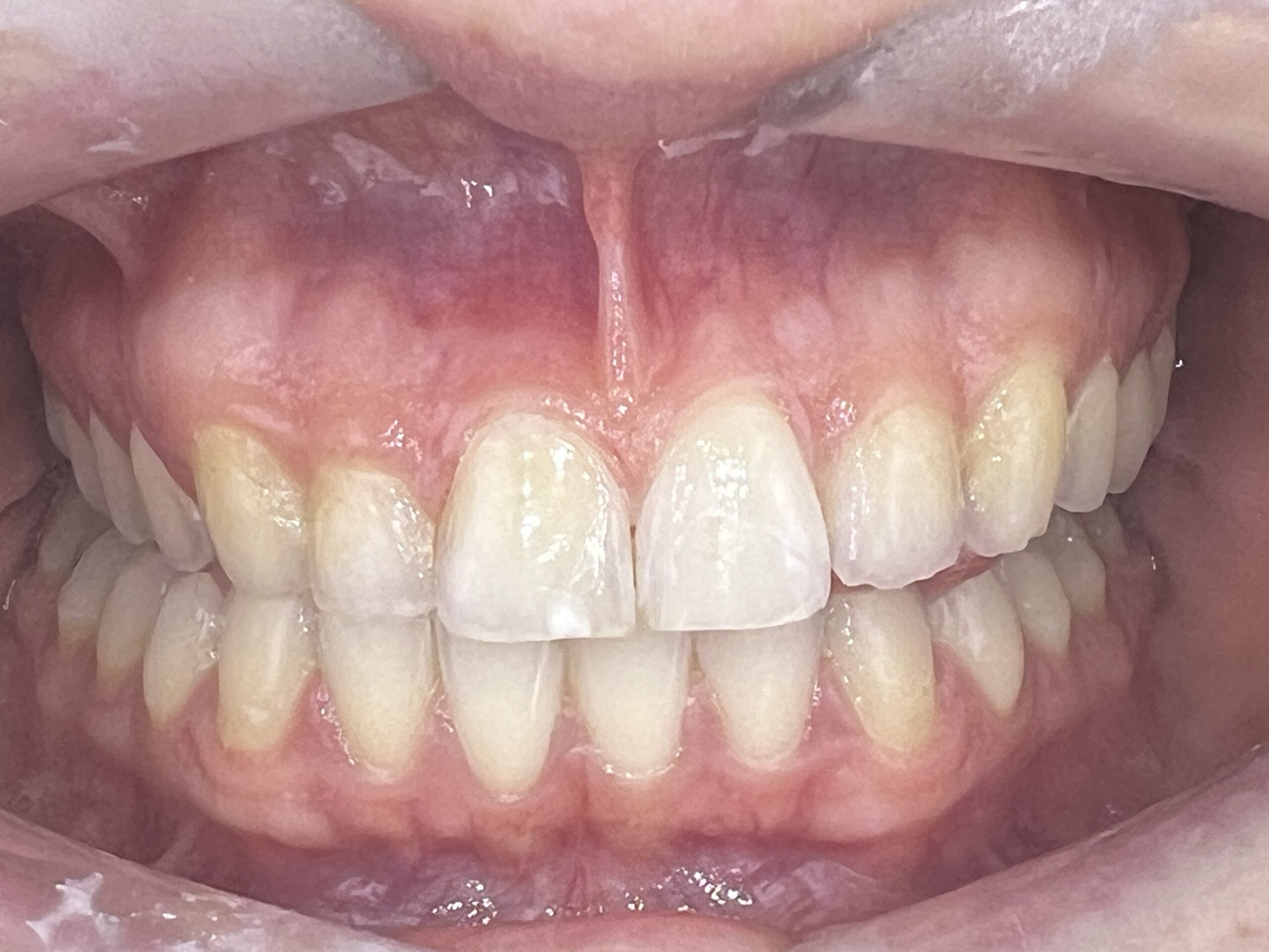
Clinical situation before

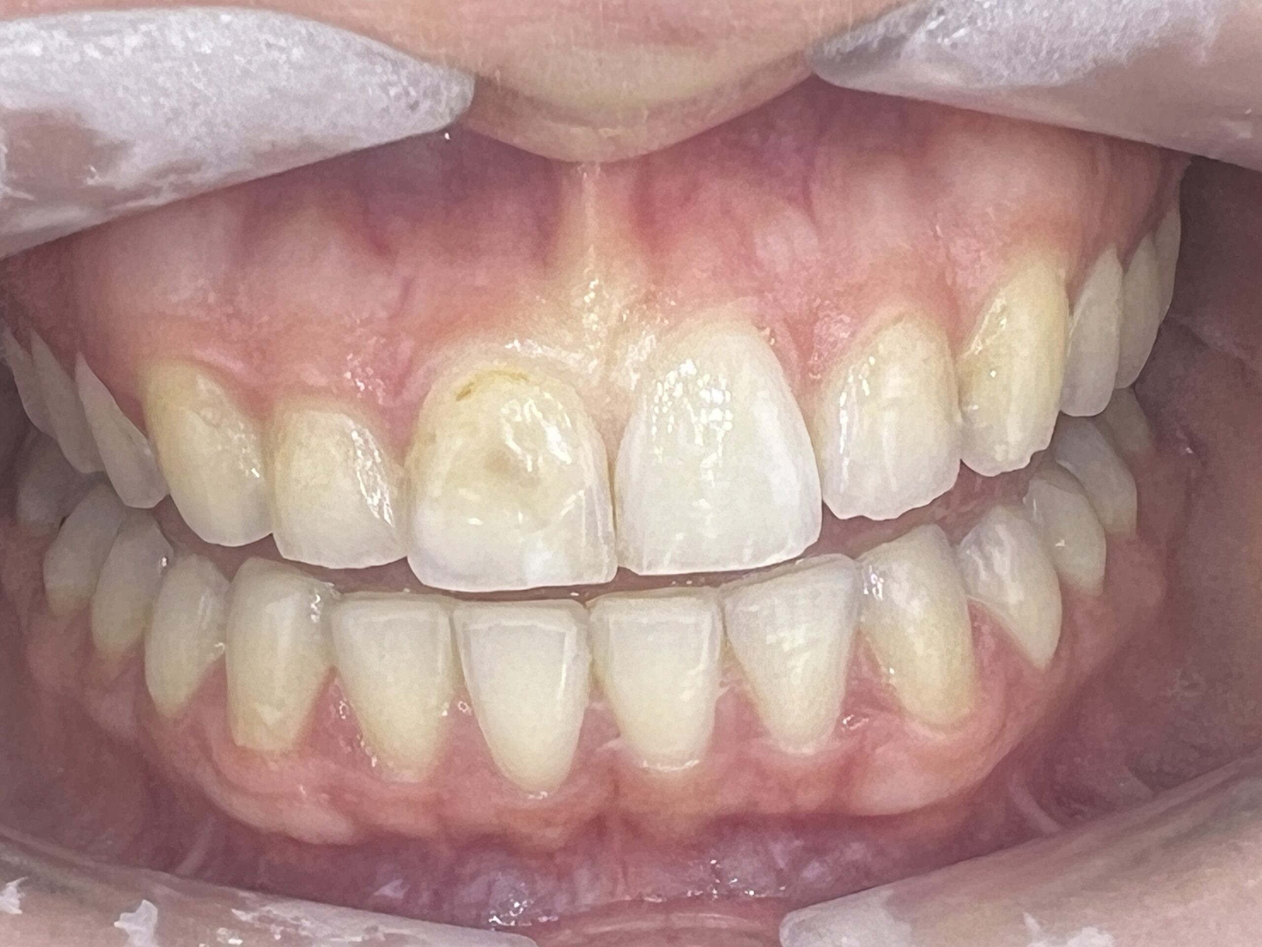
Clinical situation after. Natural shade

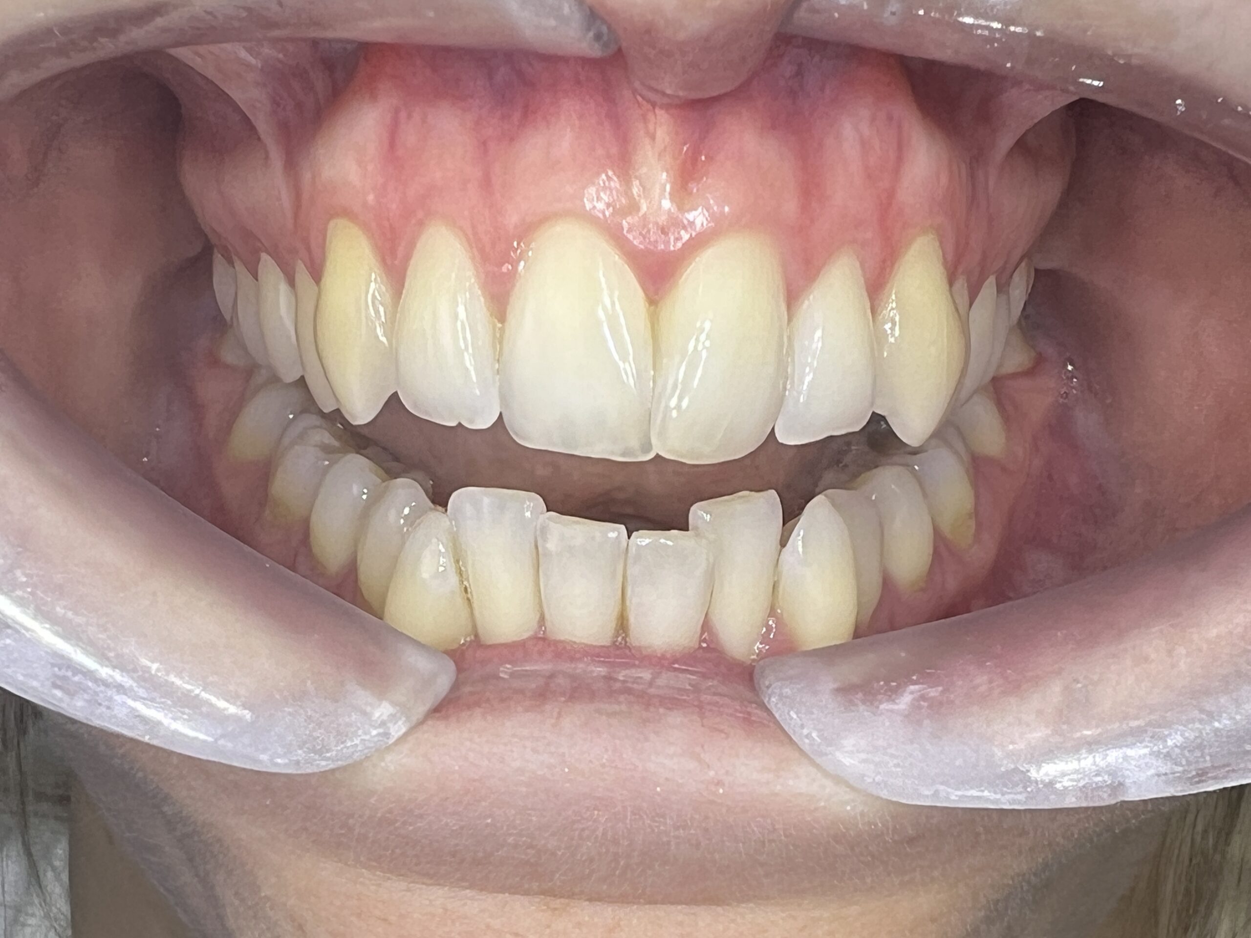
Clinical situation before

Clinical situation after. Bright shade in teeth 12 and Natural in 13 and 23

Become a part of our Brain Floss blog family and share your clinical case, your insights and your skills with this great community .

We are looking forward to hearing from you!!

The following products were used


Recommended for you


post preview image

Clinical Case: Selective-etch adhesive cementation of chairside CAD/CAM glass ceramic inlays

post preview image

Clinical Case: Gingival recession restored with 3M™ Filtek™ Easy Match Universal Restorative

post preview image

Clinical Case: Just add what nature has missed – create a natural smile with glassceramic veneers

post preview image

Clinical Case: Functional polyether impressions for removable dentures