Blog / Clinical Cases / Diastemas closure and veneers with 3M™ Filtek™ Easy Match Universal Restorative

Brain Floss Blog


January 19, 2026

Clinical Case: Diastemas closure and veneers with 3M™ Filtek™ Easy Match Universal Restorative

Using 3M™ Filtek™ Easy Match Universal Restorative.


hero image

About the Case

Patient R.S., 29 years-old with inadequate shape and proportion front teeth, in addition to diastemas and poorly adapted restorations, with stained margins and excesses.

The biggest challenge was to achieve a naturallooking restorative procedure using a single-shade and opacity resin.

The correct reproduction of the thicknesses in the different regions, as well as the tooth shape and proportion, are essential for this type of technique to work.

3M™ Filtek™ Easy Match Universal Restorative.

Initial situation.

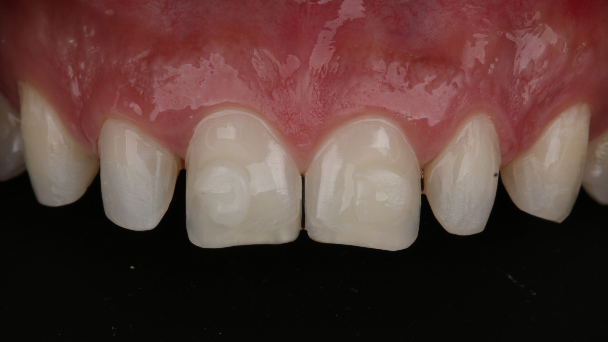
Shade selection for 3M™ Filtek™ Easy Match Universal Restorative with button technique. Bright shade is on tooth 1.1, and Natural shade on tooth 2.1. Natural shade was selected due to better blending effect.

Rubber dam in place and silicon index check (3M™ Express™ XT) done from the 3D-printed model after digital treatment plan.

Application of palatal layer with the help of the silicon index and define the final length of the front teeth, using Natural shade of 3M™ Filtek™ Easy Match Universal Restorative.

Application of the same 3M™ Filtek™ Easy Match Universal Restorative in Natural shade, both for the palatal and proximal enamel, establishing the width ratio and contact points.

Application of the same material 3M™ Filtek™ Easy Match Universal Restorative Natural shade, for the rest of restoration, following the single-shade concept. The material was applied in 3 steps for this procedure technique.

Finishing with 3M™ Sof-Lex™ Pop-On discs Medium and polishing with 3M™ Sof-Lex™ Diamond Spiral - beige and pink, with a final felt disc and polishing paste.

1 week follow-up.

Become a part of our Brain Floss blog family and share your clinical case, your insights and your skills with this great community .

We are looking forward to hearing from you!!

The following products were used


Recommended for you


post preview image

Clinical Case: Complex rehabilitation

post preview image

Clinical Case: Post-orthodontic esthetic refinement with 3M™ Filtek™ Easy Match Universal Restorative

post preview image

Clinical Case: Restore form and function in extensive root caries with Solventum™ Filtek™ Easy Match Flowable Restorative

post preview image

Clinical Case: Bonding of a glass-ceramic overlay