Blog / Clinical Cases / Elegant Class I Restoration with 3M™ Filtek™ Easy Match Universal Restorative

Brain Floss Blog


July 28, 2025

Clinical Case: Elegant Class I Restoration with 3M™ Filtek™ Easy Match Universal Restorative

Using 3M™ Filtek™ Easy Match Universal Restorative, 3M™ Scotchbond™ Universal Plus Adhesive, 3M™ Sof-Lex™ Pre-Polishing Spirals, and 3M™ Sof-Lex™ Diamond Polishing Spirals.


hero image

About the Case

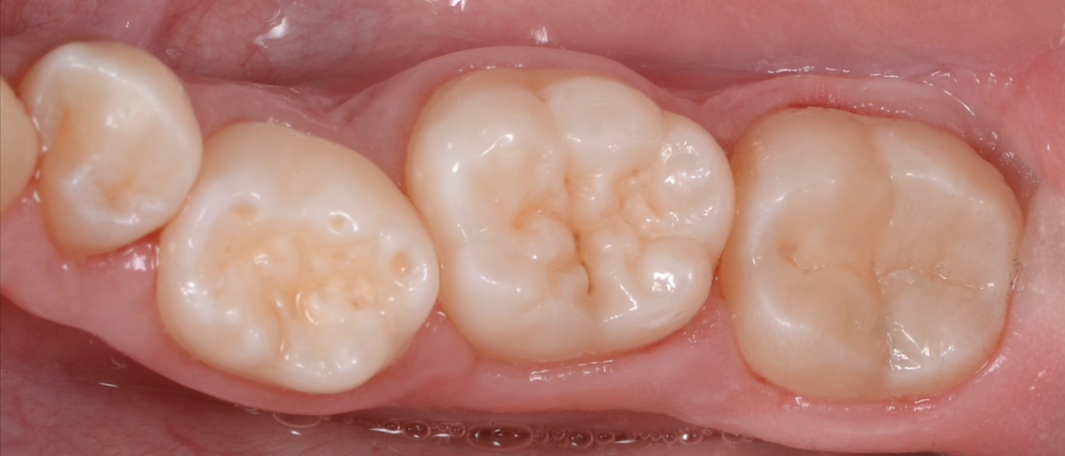
Class I restorations are the true “bread and butter” of restorative dentistry. This patient presented with pit and fissure caries on the second lower right molar, evident upon clinical examination and probing. With a minimally invasive preparation, 3M™ Filtek™ Easy Match Universal Restorative, Warm shade was used for a simple, elegant restoration.

Initial situation

After rubber dam isolation and minimally-invasive preparation, the tooth is ready for adhesion

Phosphoric acid is used to selectively etch the enamel, and is rinsed off, leaving a chalky, etched appearance

3M™ Scotchbond™ Universal Plus Adhesive is applied to the preparation for 20 seconds, on both enamel and dentin, dried and cured

3M™ Filtek™ Easy Match Universal Restorative, Warm shade is applied to the cavity preparation in increments of 2 mm

Composite instruments are used to model the material and remove excess

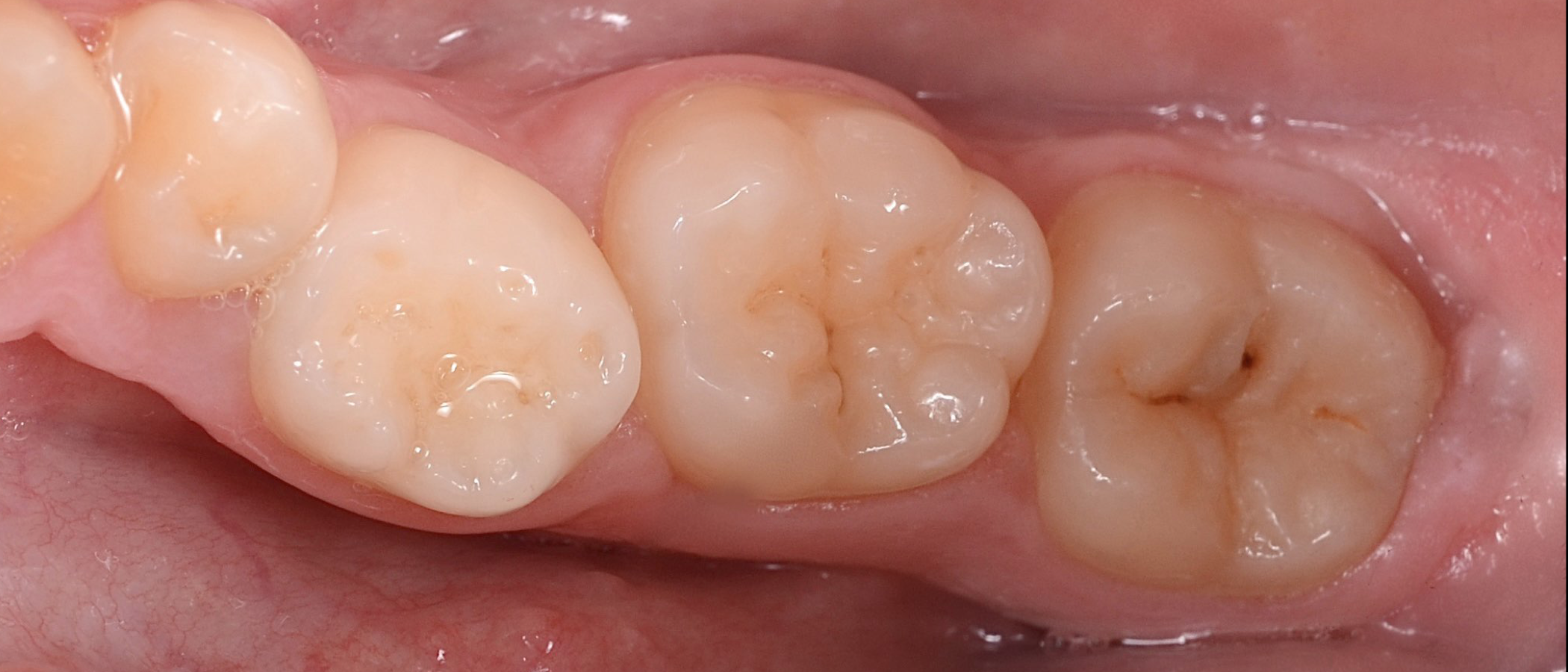
Anatomical fissures are refined and highlighted for a natural look and function

3M™ Sof-Lex™ Pre-Polishing Spirals are used to finish the restoration, even on the occlusal surface

3M™ Sof-Lex™ Diamond Polishing Spirals are used to attain high-gloss polish

Final result after occlusal adjustment and polish

Become a part of our Brain Floss blog family and share your clinical case, your insights and your skills with this great community .

We are looking forward to hearing from you!!

The following products were used


Recommended for you


post preview image

Clinical Case: Bonding of a glass-ceramic overlay

post preview image

Clinical Case: Endocrown cementation with 3M™ RelyX™ Universal Resin Cement and 3M™ Scotchbond™ Universal Plus Adhesive

post preview image

Clinical Case: Post-orthodontic esthetic refinement with 3M™ Filtek™ Easy Match Universal Restorative

post preview image

Clinical Case: Restore form and function in extensive root caries with Solventum™ Filtek™ Easy Match Flowable Restorative