Blog / Clinical Cases / Endocrown cementation with 3M™ RelyX™ Universal Resin Cement and 3M™ Scotchbond™ Universal Plus Adhesive

Brain Floss Blog


March 30, 2026

Clinical Case: Endocrown cementation with 3M™ RelyX™ Universal Resin Cement and 3M™ Scotchbond™ Universal Plus Adhesive

Using 3M™ RelyX™ Universal Resin Cement and 3M™ Scotchbond™ Universal Plus Adhesive.


hero image

About the Case

A 32-year-old female patient contacted the practice with a fractured filling on tooth 36 which included part of the cusps. The tooth had been endodontically treated several years before. It was decided to remove the composite and restore with a lithium disilicate endocrown.

Endocrowns take advantage of both adhesion and the retention from the pulp-chamber walls. In endodontically treated molars they offer a reliable alternative to the more invasive traditional full coverage crowns.

Key to success for endocrowns is a resin cement with a strong bond to the restoration material and to the tooth. In this case 3M™ RelyX™ Universal Resin Cement was used in combination with 3M™ Scotchbond™ Universal Plus Adhesive in the selective enamel etch technique.
The restoration functioned very well. At the two-year recall only some superficial wear was noted, cement margins were intact and free of discoloration.

Close-up of molar teeth showing dental plaque and slight discoloration on the chewing surfaces

Initial situation. Non-vital tooth #36 with a large, fractured composite filling involving part of the cusps.

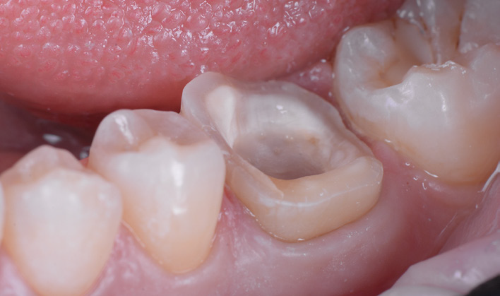
Close-up of a molar tooth with a large cavity preparation and adjacent teeth

Endocrown preparation. Cusps and walls were reduced to allow full coverage of the tooth. Pulp chamber floor is protected by a layer of composite.

Close-up of lower molars with one tooth prepared for a dental crown

Buccal view of preparation. Pulp chamber provides ferrule for the restoration.

Dental crown being placed on a model of teeth

Monolithic lithium disilicate restoration and printed model.

Two close-ups of a dental crown on a blue background on the left and a dental crown being brushed with a blue toothbrush on the right

HF etching of bonding surface (left) followed by priming with 3M™ Scotchbond™ Universal Plus Adhesive (right).

Tooth isolated with a dental rubber dam and metal clamp showing a cavity filled with blue dental material

Selective enamel etching under total isolation.

Two close-up views of a dental crown on a yellow holder with a dental applicator applying material on the left and the crown secured with a blue dental dam on the right

Application of 3M™ RelyX™ Universal Resin Cement (left) and seated restoration (right).

Close-up of a dental dam isolating a molar tooth with a dental instrument applying liquid on the tooth surface

Cement excess clean-up.

Close-up of a handcuff locking mechanism illuminated by blue light

Final light cure.

Close-up of three molar teeth with visible grooves and pits on the chewing surfaces

Final situation immediately after cementation.

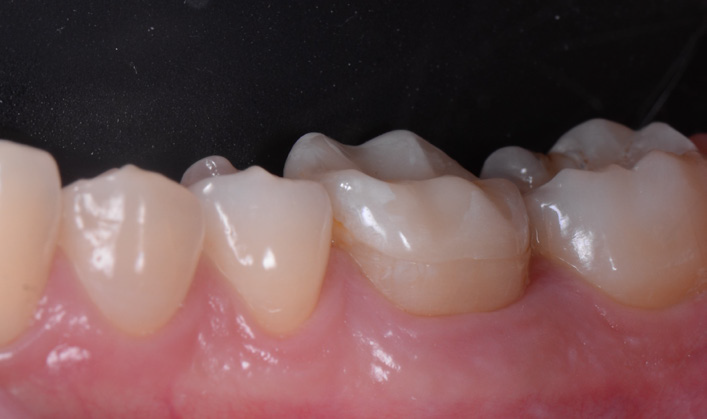
Close-up of lower molars and premolars with visible dental restorations on some teeth

Restoration at two-year recall.

Become a part of our Brain Floss blog family and share your clinical case, your insights and your skills with this great community .

We are looking forward to hearing from you!!

The following products were used


Recommended for you


post preview image

Clinical Case: Bonding of a glass-ceramic overlay

post preview image

Clinical Case: Post-orthodontic esthetic refinement with 3M™ Filtek™ Easy Match Universal Restorative

post preview image

Clinical Case: Restore form and function in extensive root caries with Solventum™ Filtek™ Easy Match Flowable Restorative

post preview image

Clinical Case: Narrow Class II Restorations with 3M™ Filtek™ Easy Match