Blog / Clinical Cases / Functional and esthetic treatment of a complex case through minimally invasive indirect adhesive procedures

Brain Floss Blog


October 28, 2024

Clinical Case: Functional and esthetic treatment of a complex case through minimally invasive indirect adhesive procedures

Using 3M™ Protemp™ 4 Temporization Material, 3M™ Scotchbond™ Universal Plus Adhesive, and 3M™ RelyX™ Universal Resin Cement.


hero image

About the Case

The 60-year male patient presented with occlusal dysfunction resulting in pathological occlusal wear and abfractions, sore facial and masticatory muscles, recessive gums and inadequate crown on tooth 21 and large composite fillings on tooth 11. The patient refused orthodontic treatment but agreed to occlusal therapy through extensive rehabilitation. After atlas correction by a specialized therapist the new bite position was defined and tested with an occlusal splint for 3 month. For the necessary VDO increase most of the teeth had to be prosthetically restored. Based on the digital wax-up a mock-up with 3M™ Protemp™ 4 Temporization Material was created to test function and esthetics. Minimally invasive dental preparations were performed through the mock-up and 3M™ Impregum™ Polyether was used for the precision impression. For the anterior teeth feldspathic ceramic restorations and for the posterior teeth lithium disilicate restorations were prepared and bonded with 3M™ RelyX™ Universal Resin Cement and 3M™ Scotchbond™ Universal Plus Adhesive.

From an esthetic and functional point of view this complex restoration can be considered a success despite the lack of orthodontic pre-treatment. The patient is very happy with the result

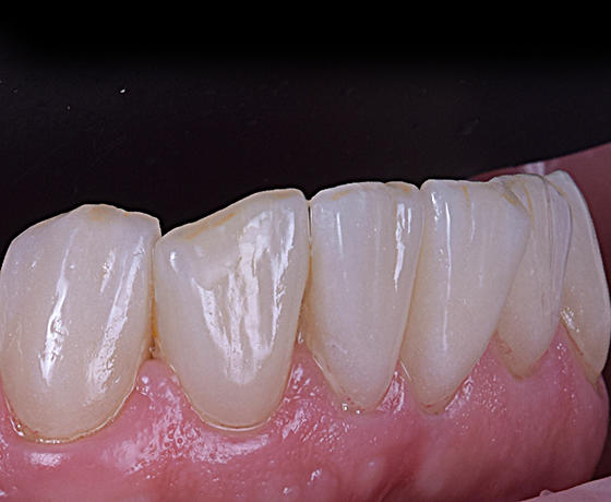
Initial situation

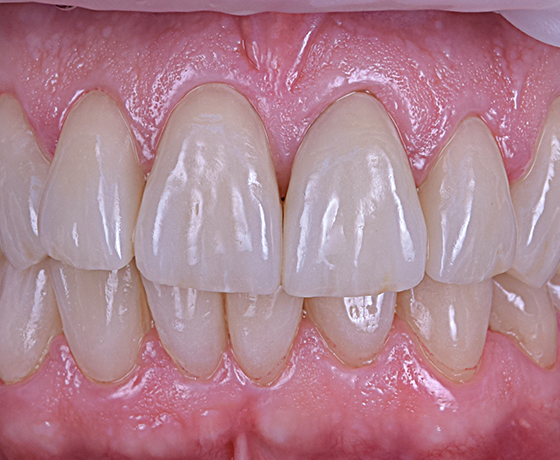
Mock-up with 3M™ Protemp™ 4 Temporization Material to test function and esthetics.

Feldspathic glass ceramic veneers on model

Feldspathic glass ceramic veneers on model.

Tooth with rubber dam isolation

Adhesive cementation protocol under rubber dam isolation starting with total etch of veneer preparation.

Veneer preparation after application of 3M™ Scotchbond™ Universal Plus Adhesive.

Bonding surface of veneer after HF etching and application of 3M™ Scotchbond™ Universal Plus Adhesive as silane primer.

Application of 3M™ RelyX™ Universal Resin Cement shade TR.

Veneer in place after excess clean-up.

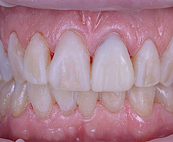
Later view of 4th quadrant at 15-month recall.

Frontal view at 15-month recall.

Every step in the cementation workflow is crucial for ensuring the retention, marginal seal, and durability of the indirect restoration. With the recent introduction of new, advanced cementation and adhesive materials, there still remains some confusion on the appropriate cementation techniques and relevant products to suit. The daily challenge – How do you make an informed decision on what cement to use and how to use it to achieve the best clinical outcomes for you and your patients?

Join our experts Dr. Silvana Thering (Specialist in Prosthodontics) and Dr. Erwin Mecher (Solventum Global Scientific Affairs Manager) where they discuss in detail how to solve adhesive cementation cases and learn the practical step-by-step guidance for your everyday clinical work.

Register now and watch the webinar at a time that is convenient for you.
Do you have questions? Join and fellow professionals in a live Q&A session with the speakers on Wednesday 6th of November 20:00 CET.

Register here: Webinar ‘Cementation solved’

Become a part of our Brain Floss blog family and share your clinical case, your insights and your skills with this great community .

We are looking forward to hearing from you!!

The following products were used


Recommended for you


post preview image

Clinical Case: Complex rehabilitation

post preview image

Clinical Case: Post-orthodontic esthetic refinement with 3M™ Filtek™ Easy Match Universal Restorative

post preview image

Clinical Case: Restore form and function in extensive root caries with Solventum™ Filtek™ Easy Match Flowable Restorative

post preview image

Clinical Case: Bonding of a glass-ceramic overlay