Blog / Clinical Cases / Gingival recession restored with 3M™ Filtek™ Easy Match Universal Restorative

Brain Floss Blog


December 8, 2025

Clinical Case: Gingival recession restored with 3M™ Filtek™ Easy Match Universal Restorative

Using 3M™ Filtek™ Easy Match Universal Restorative.


hero image

About the Case

Gingival recession in the maxillary dentition, often accompanied by dentinal hypersensitivity, can be a challenge to treat, especially if the patient has a high smile line. This patient presented with very chromatic teeth, and shade selection was further complicated by the need to match the darker exposed root. In this case, we observed how easy it is to match the tooth shade by choosing between the Bright, Natural and Warm shades of 3M™ Filtek™ Easy Match Universal Restorative.

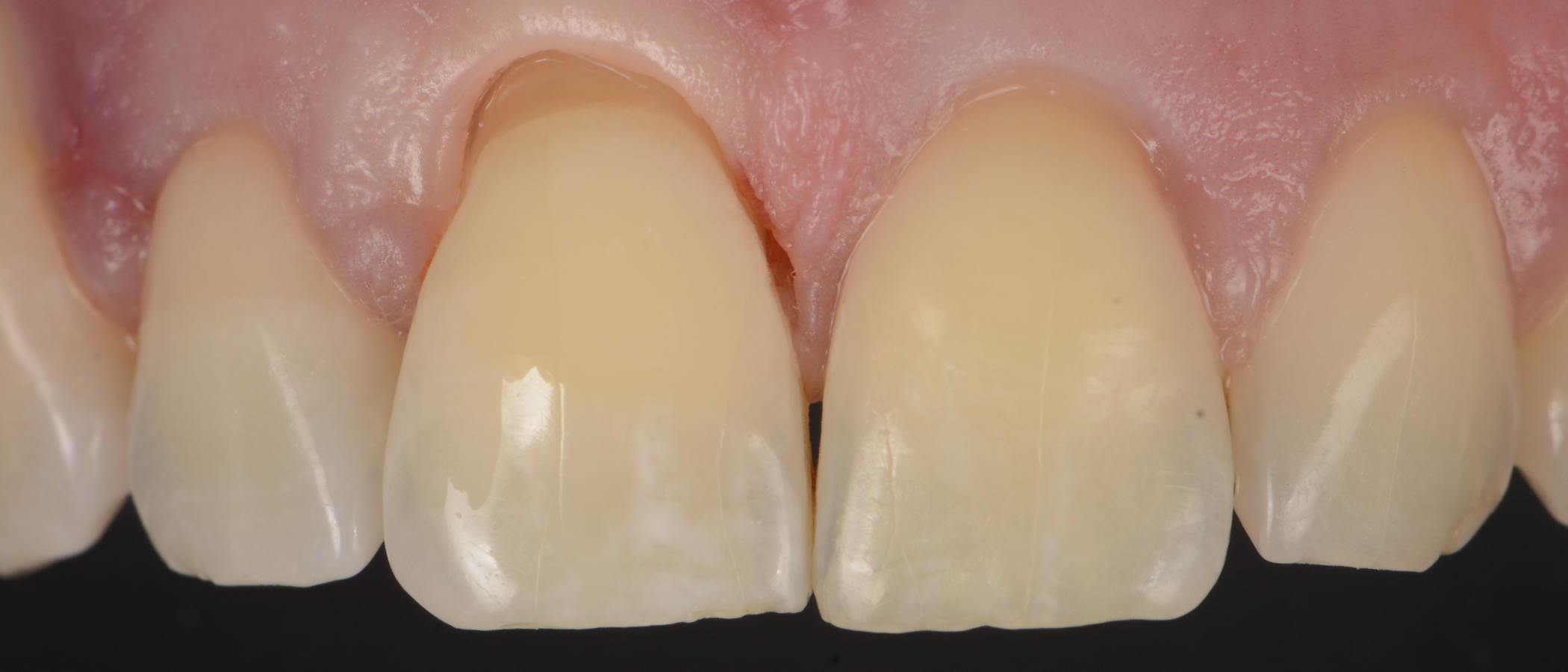
Initial situation

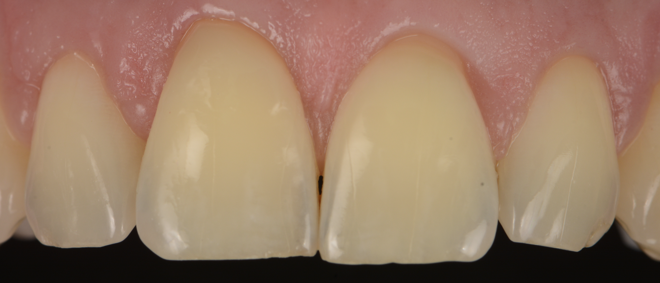
To select the most appropriate shade, a small amount of each shade of 3M™ Filtek™ Easy Match Universal Restorative was placed on the area to be restored and cured. Warm provided the best match

The tooth is cleaned and prepared, while a thin retraction cord is used to retract the gingiva

After etching and bonding, Filtek Easy Match Universal Restorative, Warm shade is placed and contoured to create a smooth transition between dentin and enamel

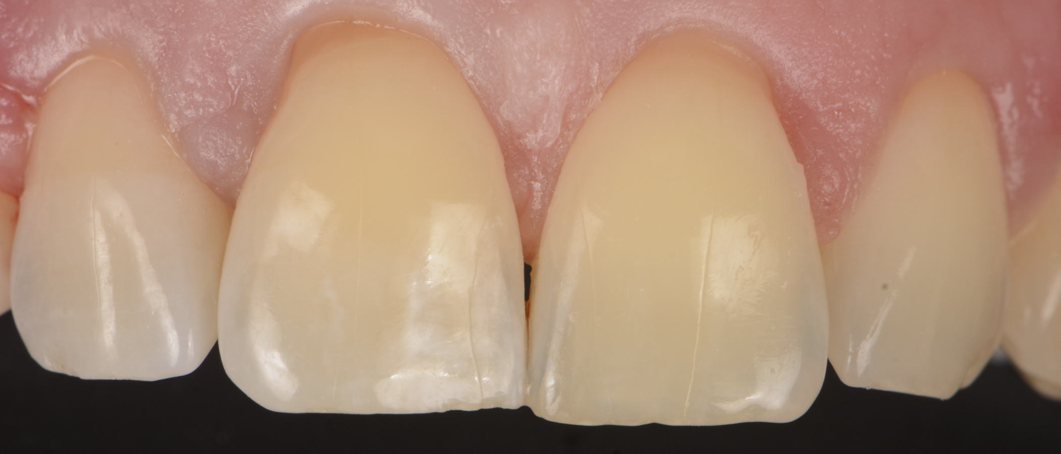
After finishing and polishing, the high gloss of Filtek Easy Match Universal Restorative is evident, thanks to its proprietary nanofiller technology

Final, natural appearance, one-week post-op. Note the seamless transition and imperceivable color blend

Become a part of our Brain Floss blog family and share your clinical case, your insights and your skills with this great community .

We are looking forward to hearing from you!!

The following products were used


Recommended for you


post preview image

Clinical Case: Bonding of a glass-ceramic overlay

post preview image

Clinical Case: Endocrown cementation with 3M™ RelyX™ Universal Resin Cement and 3M™ Scotchbond™ Universal Plus Adhesive

post preview image

Clinical Case: Post-orthodontic esthetic refinement with 3M™ Filtek™ Easy Match Universal Restorative

post preview image

Clinical Case: Restore form and function in extensive root caries with Solventum™ Filtek™ Easy Match Flowable Restorative