Blog / Clinical Cases / Just add what nature has missed – create a natural smile with glassceramic veneers

Brain Floss Blog


November 17, 2025

Clinical Case: Just add what nature has missed – create a natural smile with glassceramic veneers

Using 3M™ Protemp™ 4 Temporization Material, 3M™ Express™ XT Impression Material, 3M™ Scotchbond™ Universal Plus Adhesive, 3M™ RelyX™ Veneer Cement.


hero image

About the Case

36 years male patient presented with the main concern of gaps between teeth and dissatisfaction with his smile. Besides the central diastema the teeth midline was shifted to the left and there was no upper teeth exposure at rest. Occlusion was stable and teeth shade was acceptable.

The main goal was to “just add what nature has missed” and create the most natural appearance of the teeth, which incorporates in the patient smile and ensures facial harmony.

A wax-up was created that corrected the central midline shift while maintaining a balanced width of the central incisors. The wax-up was transferred as a mock-up for evaluation of function and esthetics, fine-tuning of the shapes and for patient communication. Preparation was done with a preparation guide created on the final wax-up. Veneers were layered with feldspathic porcelain and bonded with 3M™ Scotchbond™ Universal Plus Adhesive and 3M™ RelyX™ Veneer Cement.

Challenge

As a central midline was shifted, it was very important to restore it with ensuring that size and width of both central incisors are still more or less the same. Besides, it was a huge challenge to do the preparation according to the future thickness of the restoration. Therefore, the preparation was made not through the mock-up, but with the guide done according to the mock-up.

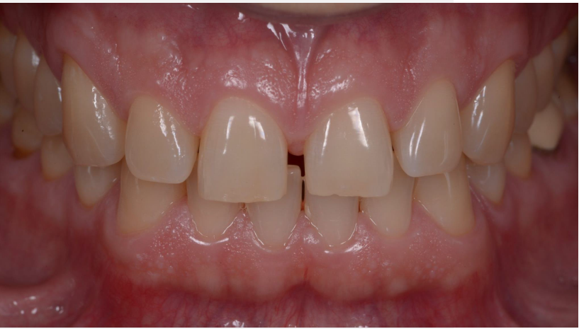
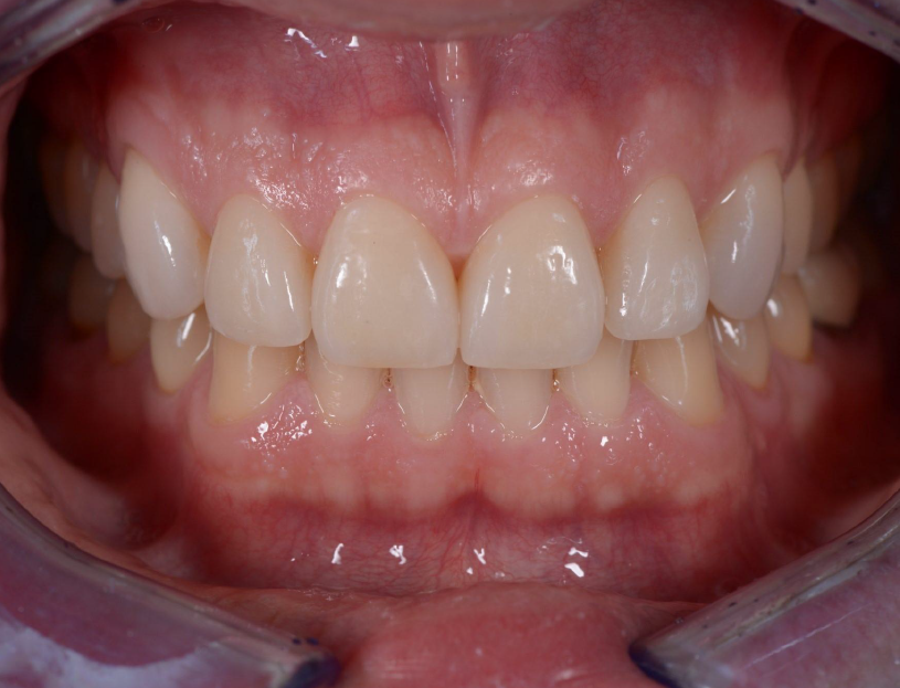
Close-up of teeth

Initial situation in the static occlusion.

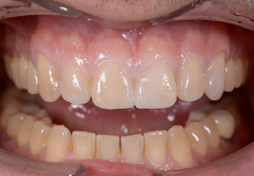
Close-up of teeth with the mouth slighty open

3M™ Protemp™ 4 Temporization Material mock-up placed with a wax-up impression.

A close-up of teeth sowing the upper jaw and a ping material

Preparation guide fabricated on the final wax-up was used to control the space needed for ceramic veneers: view before and after the minimal preparation of incisal and interpoximal areas.

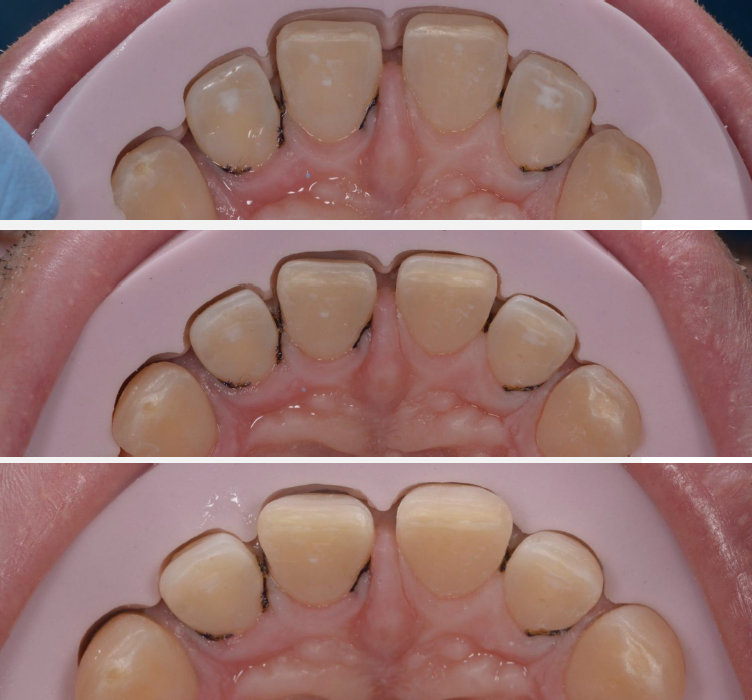
3 teeth close-ups combined in one image. Showing the upper jaw from underneith and pink paste

Minimal preparation of the buccal surfaces with segmented guide fabricated on the final wax-up: checking reduction at the incisal edge, in the middle, and at the soft tissue level.

Teeth close-up from underneith and the front

Final preparations with retraction cord in place.

A teeth model, an impression of the patients teeth

One-step impression taken with 3M™ Express™ XT Penta H and 3M™ Express™ XT Light Body impression materials.

Front and underneith image of glass-ceramic veneers.

Layered felspathic glass-ceramic veneers.

Close-up of the upper jaw with trying on the veneers

Try-in of veneers.

close-up of a single veneer backside and two fingers holding the veneer applying adhesive with a micro brush

HF etching of veneers followed by silanization with 3M™ Scotchbond™ Universal Plus Adhesive which was also used on the preparations after total etch with phosphoric acid.

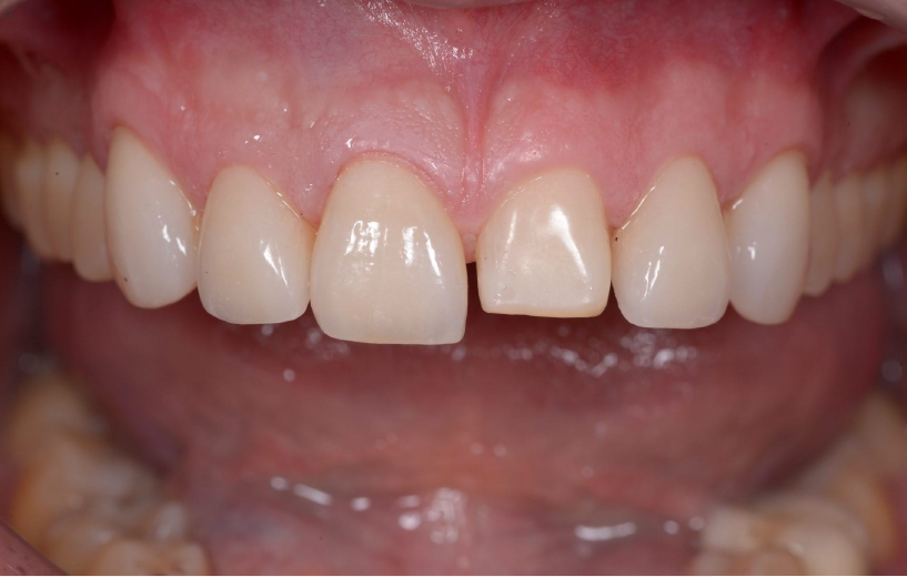
Teeth close-up of upper and lower jaw showing the new upper jaw with attached veneers

Final result two weeks after veneer cementation with 3M™ RelyX™ Veneer Cement , translucent shade.

An x-ray image showing the teeth with the veneers attached

X-ray control to check the precision of restorations and possible cement excess.

Outcome

The main goal was to create the most natural appearance of the teeth, which incorporates well into the patient smile and ensures the facial harmony. We have just added what nature has missed.

Become a part of our Brain Floss blog family and share your clinical case, your insights and your skills with this great community .

We are looking forward to hearing from you!!

The following products were used


Recommended for you


post preview image

Clinical Case: Bonding of a glass-ceramic overlay

post preview image

Clinical Case: Endocrown cementation with 3M™ RelyX™ Universal Resin Cement and 3M™ Scotchbond™ Universal Plus Adhesive

post preview image

Clinical Case: Post-orthodontic esthetic refinement with 3M™ Filtek™ Easy Match Universal Restorative

post preview image

Clinical Case: Restore form and function in extensive root caries with Solventum™ Filtek™ Easy Match Flowable Restorative