Blog / Clinical Cases / Narrow Class II restorations with 3M™ Filtek™ Easy Match Universal Restorative

Brain Floss Blog


October 20, 2025

Clinical Case: Narrow Class II restorations with 3M™ Filtek™ Easy Match Universal Restorative

Using 3M™ Filtek™ Easy Match Universal Restorative, and 3M™ Scotchbond™ Universal Plus Adhesive.


hero image

About the Case

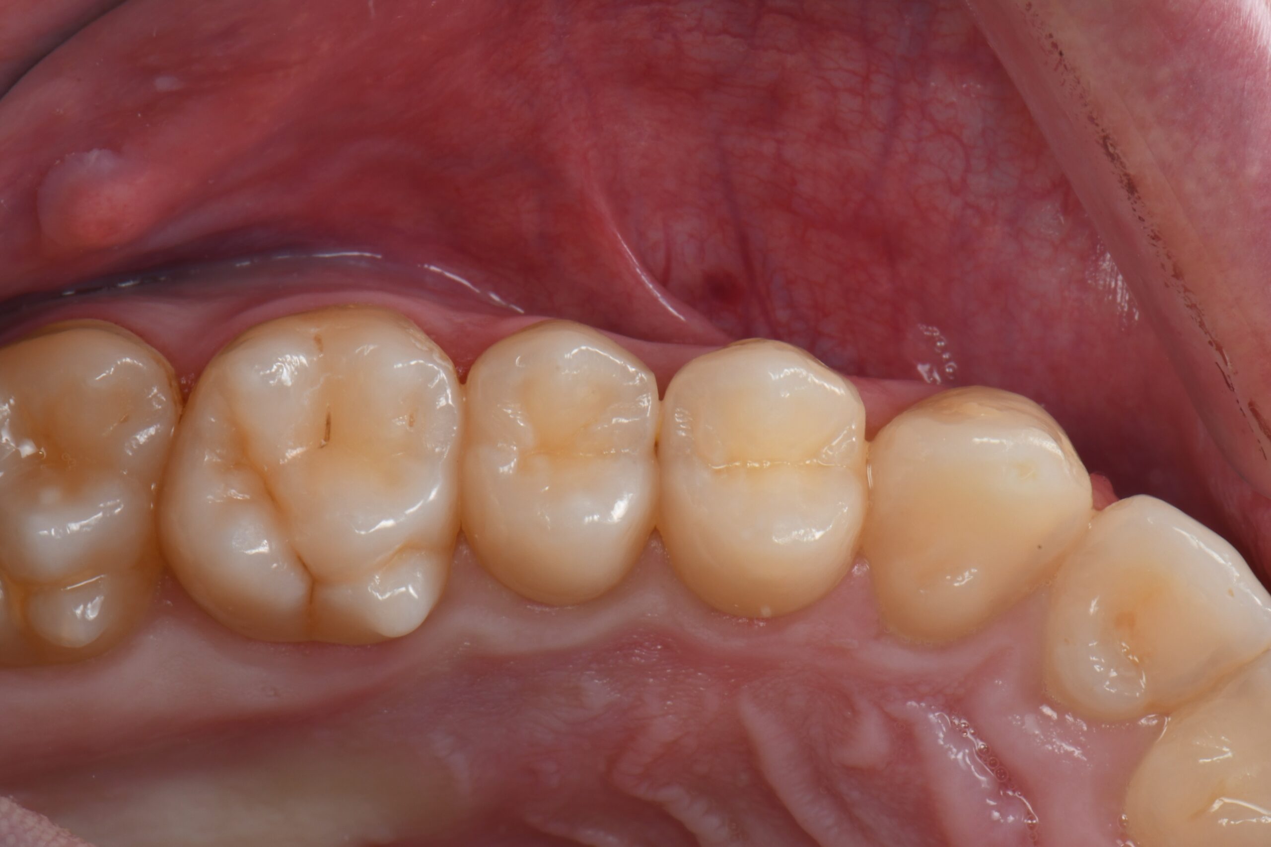
This young 20-year-old man came to my office for a check-up. He told me he used an electric toothbrush but did not use dental floss. His oral hygiene was fair. After performing a clinical examination and bitewing radiographs, I found the presence of interproximal carious lesions at the upper left premolars. According to the Anusavice and Benn classification (2005), these were D1 lesions, thus deserving restorative treatment.

Pre-op Photo (occlusal view). As you can see it’s difficult to find interproximal cavities using only the clinical exam

The rubber dam is properly placed

Minimally invasive interproximal boxes are opened in order to remove the carious lesions

Sectional matrices, wedges and rings are properly placed, and selective enamel etching is performed

The adhesive phase is performed with 3M™ Scotchbond™ Universal Plus Adhesive and light cured

A thin layer of flowable composite is placed. Sectional matrices are adapted with light-cured resin barrier for tight adaptation, enabling faster and easier refining

Restoration of the second premolar, and restoration of the distal marginal ridge on the first premolar

The residual cavity in the premolar is filled with 3M™ Filtek™ Easy Match Universal Restorative and occlusal anatomy is shaped

After a quick finishing phase, the restorations are polished with rubber burs and a polishing brush

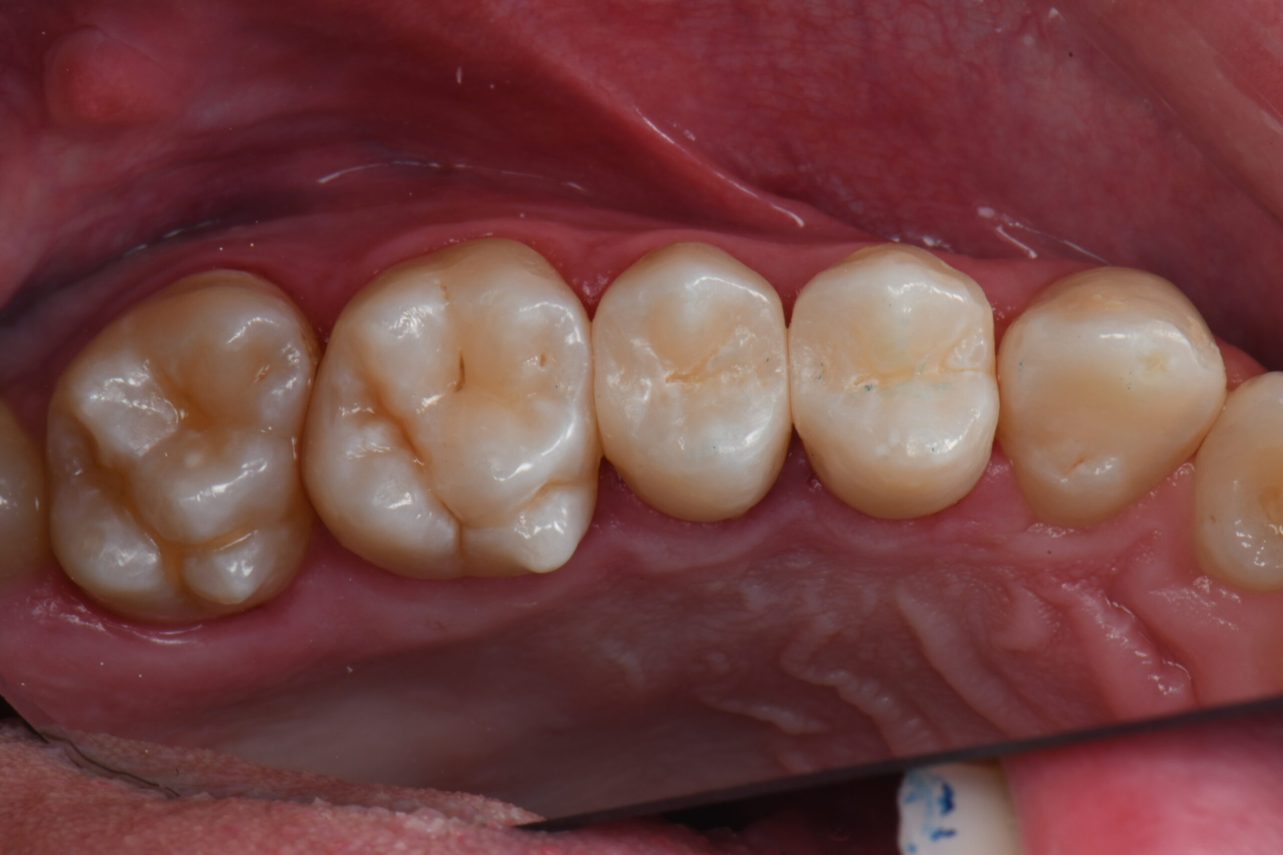
Post-op palatal view after rubber dam removal and occlusal adjustments

Become a part of our Brain Floss blog family and share your clinical case, your insights and your skills with this great community .

We are looking forward to hearing from you!!

The following products were used


Recommended for you


post preview image

Clinical Case: Complex rehabilitation

post preview image

Clinical Case: Post-orthodontic esthetic refinement with 3M™ Filtek™ Easy Match Universal Restorative

post preview image

Clinical Case: Restore form and function in extensive root caries with Solventum™ Filtek™ Easy Match Flowable Restorative

post preview image

Clinical Case: Bonding of a glass-ceramic overlay