Blog / Clinical Cases / Post Reinforced Core Build-up

Brain Floss Blog


August 2, 2021

Clinical Case: Post Reinforced Core Build-up

Featuring new 3M™ RelyX™ Universal Resin Cement and new 3M™ Scotchbond™ Universal Plus Adhesive.


hero image

About the Case

The 47-year-old female patient presented with a heavily destroyed tooth 15 and the strong wish to keep the tooth by any means. Key step of the planned approach was the magnetic extrusion of the root after root canal treatment. After core build-up with a post, a full-contour zirconia crown was placed. 3M™ RelyX™ Universal Resin Cement was used for self-adhesive cementation of both the 3M™ RelyX™ Fiber Post 3D and the 3M™ Lava™ Esthetic Full-Contour Zirconia Crown. 3M™ Scotchbond™ Universal Plus Adhesive and 3M™ Filtek™ One Bulk Fill Restorative were employed for the core build-up.

Initial situation, occlusal view.

Situation after endodontic treatment and three weeks of extrusion by magnets fixed on the root and on a splint.

Preparation of the root canal.

Try-in of the 3M™ RelyX™ Fiber Post 3D for length determination.

Cleaning of the 3M™ RelyX™ Fiber Post 3D with alcohol after length adjustment.

Rinsing.

Drying with paper tips.

Application of 3M™ RelyX™ Universal Resin Cement with elongation tip.

After post placement: Application of 3M™ Scotchbond™ Universal Plus Adhesive for core build-up followed by light-curing.

Light-cure of the 3M™ Filtek™ One Bulk Fill Restorative One Bulk Fill Restorative core build-up.

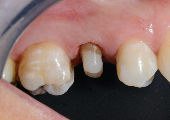
Preparation.

Provisional restoration in place.

Try-in of the 3M™ Lava™ Esthetic Full-Contour Zirconia Crown.

Sandblasting of the 3M™ Lava™ Esthetic Full-Contour Zirconia Crown.

Excess clean-up of 3M™ RelyX™ Universal Resin Cement after tack-curing.

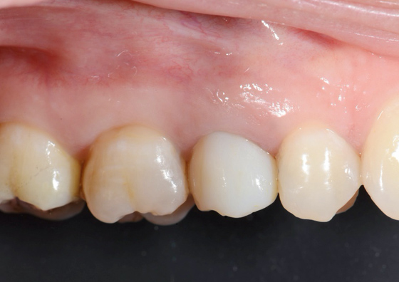
Final situation.

Become a part of our Brain Floss blog family and share your clinical case, your insights and your skills with this great community .

We are looking forward to hearing from you!!

The following products were used


Recommended for you


post preview image

Clinical Case: Endocrown cementation with 3M™ RelyX™ Universal Resin Cement and 3M™ Scotchbond™ Universal Plus Adhesive

post preview image

Clinical Case: Post-orthodontic esthetic refinement with 3M™ Filtek™ Easy Match Universal Restorative

post preview image

Clinical Case: Restore form and function in extensive root caries with Solventum™ Filtek™ Easy Match Flowable Restorative

post preview image

Clinical Case: Narrow Class II Restorations with 3M™ Filtek™ Easy Match