Blog / Clinical Cases / Restoring function with 3M™ Filtek™ Easy Match Universal Restorative

Brain Floss Blog


September 29, 2025

Clinical Case: Restoring function with 3M™ Filtek™ Easy Match Universal Restorative

Using 3M™ Filtek™ Easy Match Universal Restorative, and 3M™ Scotchbond™ Universal Plus Adhesive.


hero image

About the Case

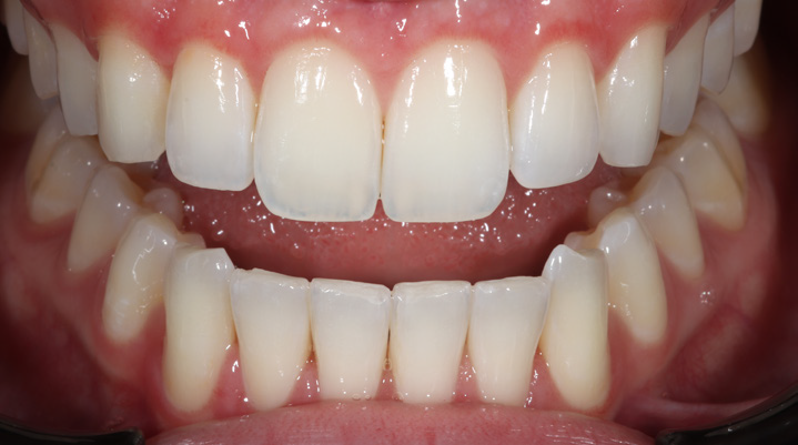
25-year-old female otherwise healthy presented with chief complaint: “I wake up with tension around the masseters (dental student) and sore face/feeling puffy”. Exam revealed muscle discomfort and marked wear of the mandibular canines. Diagnosis: muscle spasm due to loss of canine guidance. Decided to additively correct the wear and reestablish proper guidance.

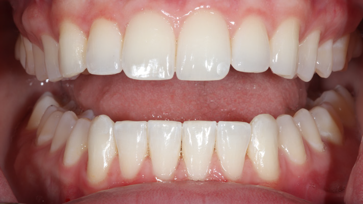
After completion and one week follow up patient reported having all discomfort subsided and a “more relaxed feeling”.

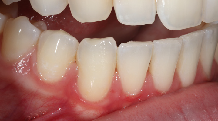
Initial situation

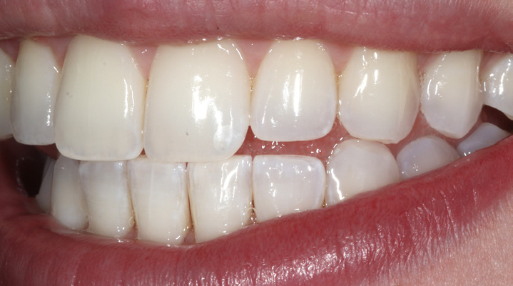
Significant wear of the lower right canine

Significant wear of the lower left canine

Rubber dam isolation of the lower right canine

Rubber dam isolation of the lower left canine

Use of 3M™ Sof-Lex™ Contouring and Polishing Disc to improve shape and contours

Etch and bond procedure

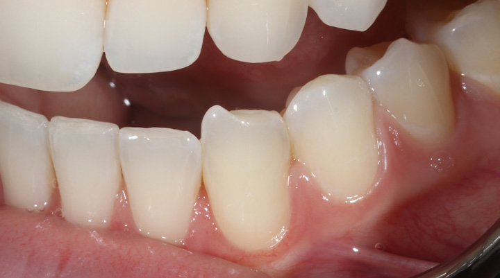
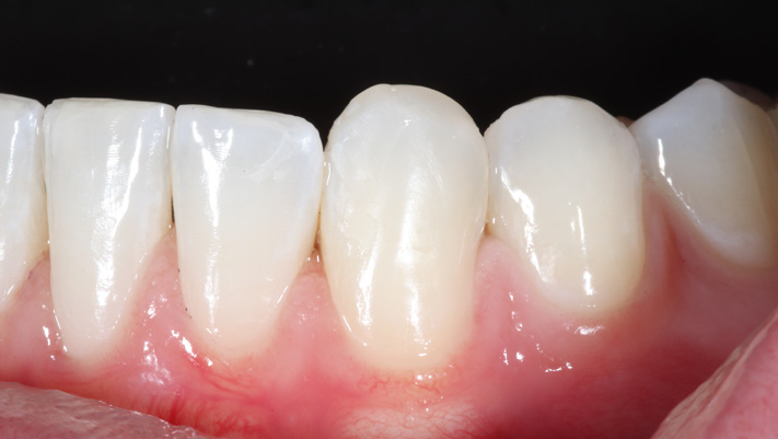
Finished lower right canine

Finished lower left canine

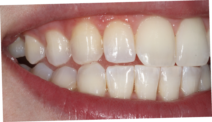
Verifying function (disclusion)

Verifying function (disclusion)

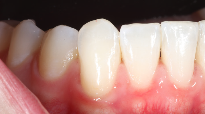
Final result

Become a part of our Brain Floss blog family and share your clinical case, your insights and your skills with this great community .

We are looking forward to hearing from you!!

The following products were used


Recommended for you


post preview image

Clinical Case: Bonding of a glass-ceramic overlay

post preview image

Clinical Case: Endocrown cementation with 3M™ RelyX™ Universal Resin Cement and 3M™ Scotchbond™ Universal Plus Adhesive

post preview image

Clinical Case: Post-orthodontic esthetic refinement with 3M™ Filtek™ Easy Match Universal Restorative

post preview image

Clinical Case: Restore form and function in extensive root caries with Solventum™ Filtek™ Easy Match Flowable Restorative