Blog / Clinical Cases / Restoring severe anterior wear with a simplified solution

Brain Floss Blog


April 14, 2025

Clinical Case: Restoring severe anterior wear with a simplified solution

Using 3M™ Filtek™ Easy Match Universal, 3M™ Scotchbond™ Universal Plus Adhesive, 3M™ Sof-Lex™ XT Contouring and Polishing Discs, and 3M™ Sof-Lex™ Diamond Polishing Spirals.


hero image

About the Case

Dental abrasion and wear present as a unique challenge in restorative dentistry. Ensuring that function and form are restored, along with natural esthetics, can be a challenge — especially with multi-shade composite systems. In this case, we show how 3M™ Filtek™ Easy Match Universal Restorative allows for a simplified, esthetic solution in Class IV restorations.

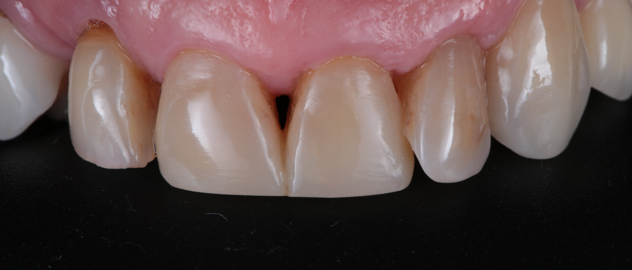
Initial situation

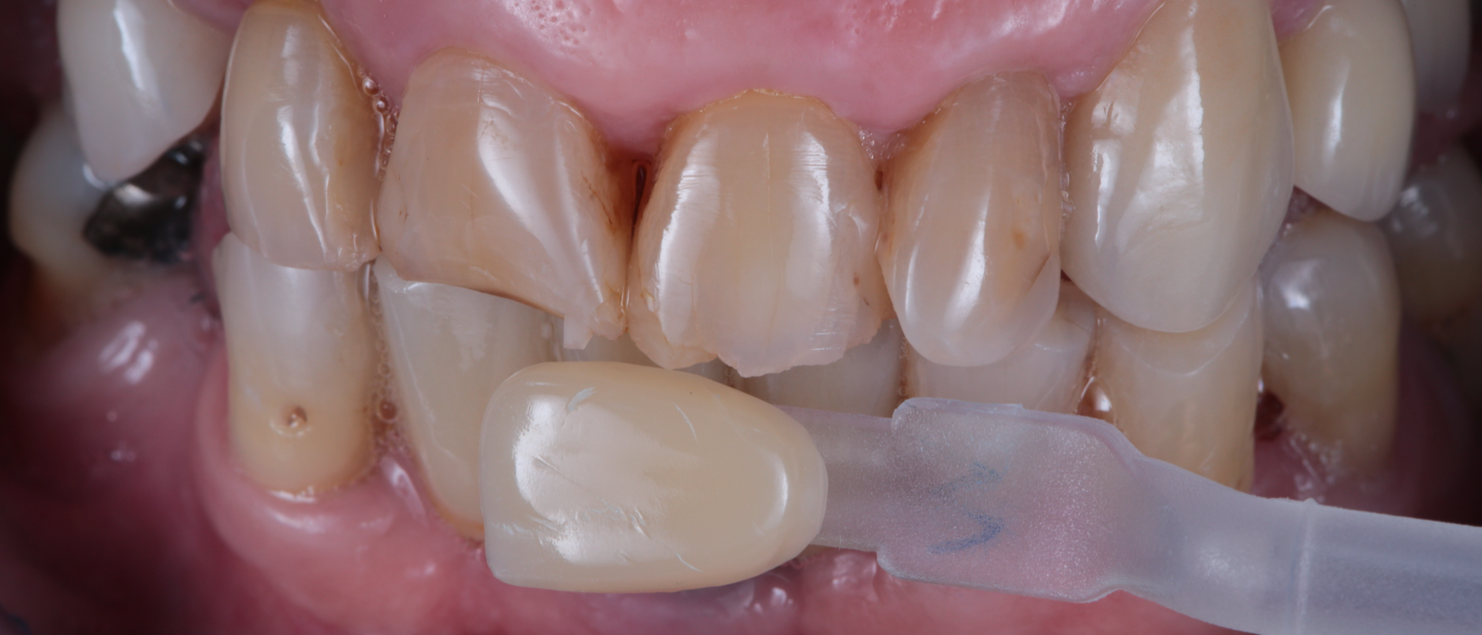
Using a custom shade guide, this patient’s richer tooth shade was determined to match 3M™ Filtek™ Easy Match Universal Restorative, Warm shade

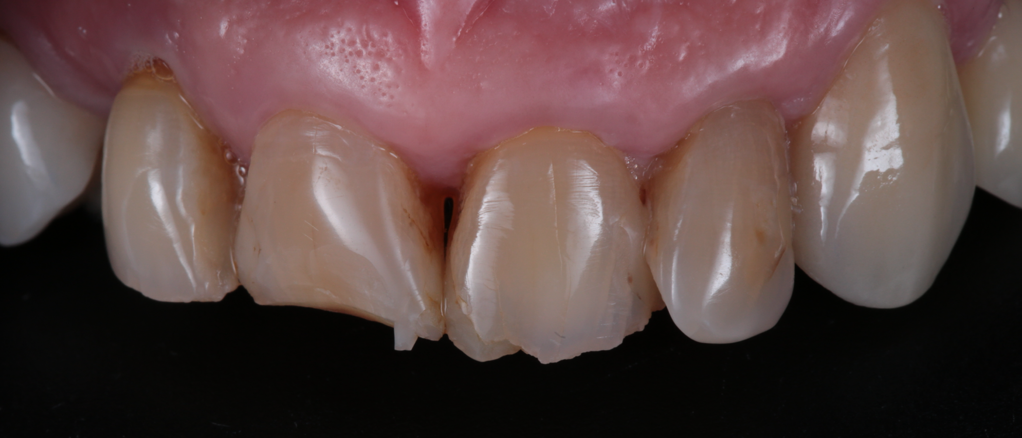
After isolation, teeth were prepared minimally to remove sharp enamel remnants

After etching with phosphoric acid, 3M™ Scotchbond™ Universal Plus Adhesive is applied to the preparation

After isolation with mylar strips, Filtek Easy Match Universal Restorative, Warm shade is used to restore the buccal and incisal edges

Note the naturally-adaptive opacity on the incisal edge of the restored tooth

Both centrals restored. Note the opacity gradient that follows the natural appearance

... a fine low speed diamond bur are used to finish the restorations, removing gross excess and defining embrasures and line angles

3M™ Sof-Lex™ Diamond Polishing Spirals are used to attain high-gloss polish

Result after polishing

Natural looking, final result

Become a part of our Brain Floss blog family and share your clinical case, your insights and your skills with this great community .

We are looking forward to hearing from you!!

The following products were used


Recommended for you


post preview image

Clinical Case: Selective-etch adhesive cementation of chairside CAD/CAM glass ceramic inlays

post preview image

Clinical Case: Gingival recession restored with 3M™ Filtek™ Easy Match Universal Restorative

post preview image

Clinical Case: Just add what nature has missed – create a natural smile with glassceramic veneers

post preview image

Clinical Case: Functional polyether impressions for removable dentures