Blog / Clinical Cases / Selective-etch adhesive bonding of a glass ceramic onlay

Brain Floss Blog


January 12, 2026

Clinical Case: Selective-etch adhesive bonding of a glass ceramic onlay

Using 3M™ Scotchbond™ Universal Plus Adhesive and 3M™ RelyX™ Universal Resin Cement.


hero image

About the Case

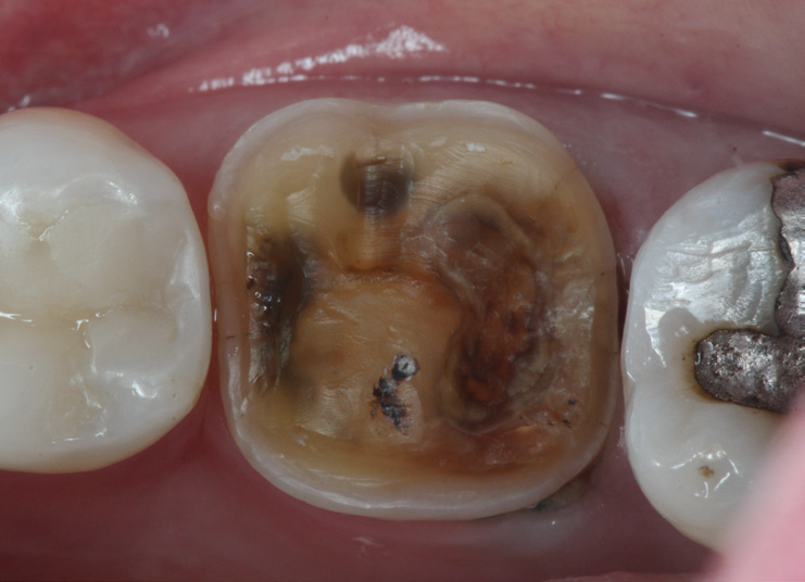
A 57-year-old patient presented with a failed onlay on tooth 36. An IPS e.max® Press onlay was defined as the treatment plan. The onlay was primed with 3M™ Scotchbond™ Universal Plus Adhesive as the silane and cemented with 3M™ RelyX™ Universal Resin Cement and Scotchbond Universal Plus Adhesive in the selective-etch adhesive technique.

A close-up of gloved fingers holding a dental ceramic crown against a dark background.

IPS e.max® Press onlay.

Close-up of two fruit halves with white centers and red peels. The left half shows a brush applying yellow liquid; the right is filled with yellow substance.

HF etching of bonding surface. External surface is protected with wax.

Close-up of two dental veneers. The left image shows a green applicator brushing one veneer, while the right shows the same veneer without the applicator.

Application of 3M™ Scotchbond™ Universal Plus Adhesive as a silane followed by air drying

A close-up of three molars; the center tooth shows extensive dental decay and cavities, while the teeth on either side appear intact, one with a metal filling.

Prepped tooth.

A close-up of a decayed tooth, isolated with blue dental dam material, showing significant discoloration and cavity damage.

Selective enamel etch with 3M™ Scotchbond™ Etchant after cleaning of prep with 50 μm alumina.

Close-up of a decayed tooth with visible brown and black areas, isolated with a dental dam for treatment; adjacent teeth are covered with dental material.

Tooth prep with applied 3M™ Scotchbond™ Universal Plus Adhesive after air-drying. No light-cure.

A close-up of dental treatment shows a brush applying material to a patient's tooth, with adjacent teeth protected by a blue dental dam.

Excess clean-up.

Close-up of lower teeth showing several healthy white teeth and one with a dark discoloration near the gum line, highlighting dental hygiene.

Final situation.

Become a part of our Brain Floss blog family and share your clinical case, your insights and your skills with this great community .

We are looking forward to hearing from you!!

The following products were used


Recommended for you


post preview image

Clinical Case: Bonding of a glass-ceramic overlay

post preview image

Clinical Case: Endocrown cementation with 3M™ RelyX™ Universal Resin Cement and 3M™ Scotchbond™ Universal Plus Adhesive

post preview image

Clinical Case: Post-orthodontic esthetic refinement with 3M™ Filtek™ Easy Match Universal Restorative

post preview image

Clinical Case: Restore form and function in extensive root caries with Solventum™ Filtek™ Easy Match Flowable Restorative