Blog / Clinical Cases / Total-etch adhesive bonding of two glass ceramic veneers

Brain Floss Blog


September 22, 2025

Clinical Case: Total-etch adhesive bonding of two glass ceramic veneers

Using 3M™ Scotchbond™ Universal Plus Adhesive, 3M™ Filtek™ Universal Restorative.


hero image

About the Case

A patient with the history of agenesis of lateral incisors received orthodontic treatment and six feldspathic veneers for the upper anteriors. Eight years later, the veneers on teeth 11 and 21 broke in a sport accident and were temporarily repaired with 3M™ Filtek™ Ultimate Universal Restorative. Six months later the old veneers were removed and new feldspathic veneers were placed with 3M™ RelyX™ Universal Resin Cement and 3M™ Scotchbond™ Universal Plus Adhesive using the total-etch technique.

Initial situation. Veneers on teeth 11 and 21 repaired with 3M™ Filtek™ Ultimate Universal Restorative.

Palatal view showing incisal edge crack of veneer on tooth 11.

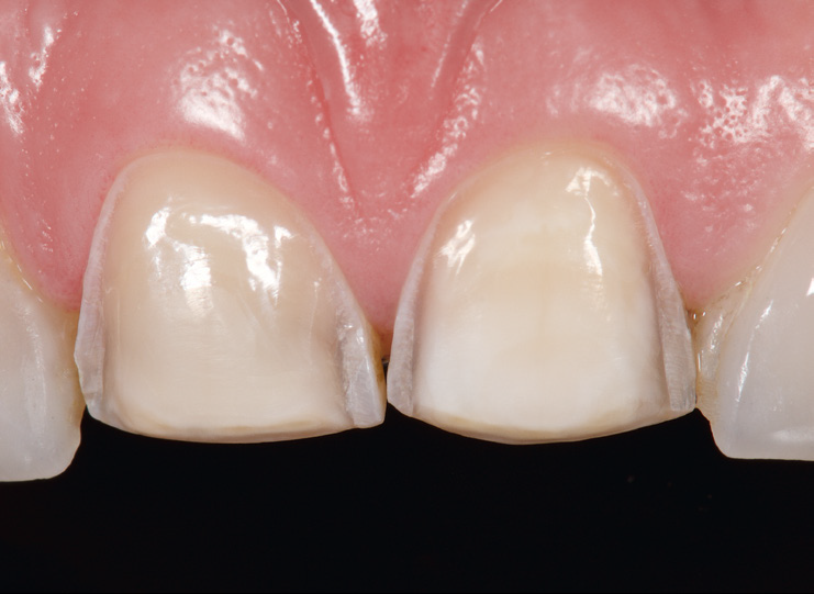
Final preparations.

HF etching of bonding surface and priming with 3M™ Scotchbond™ Universal Plus Adhesive as silane.

Total-etch.

Air-drying of 3M™ Scotchbond™ Universal Plus Adhesive after application.

Application of 3M™ RelyX™ Universal Resin Cement (shade Translucent).

Initial attachment with pinpoint light guide.

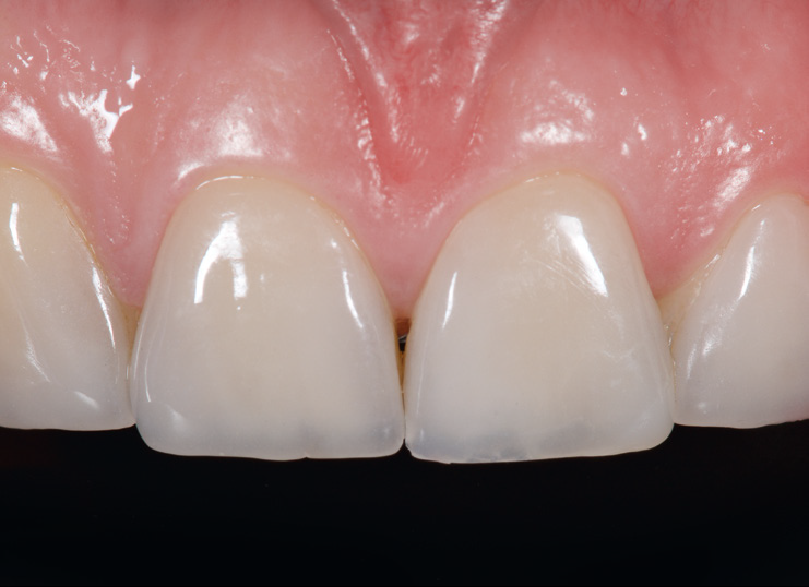
Both veneers in place after clean-up. Note the perfect marginal integration of the ceramic and enamel.

Become a part of our Brain Floss blog family and share your clinical case, your insights and your skills with this great community .

We are looking forward to hearing from you!!

The following products were used


Recommended for you


post preview image

Clinical Case: Bonding of a glass-ceramic overlay

post preview image

Clinical Case: Endocrown cementation with 3M™ RelyX™ Universal Resin Cement and 3M™ Scotchbond™ Universal Plus Adhesive

post preview image

Clinical Case: Post-orthodontic esthetic refinement with 3M™ Filtek™ Easy Match Universal Restorative

post preview image

Clinical Case: Restore form and function in extensive root caries with Solventum™ Filtek™ Easy Match Flowable Restorative