Blog / Clinical Cases / Total-etch adhesive cementation of a zirconia Maryland bridge

Brain Floss Blog


October 13, 2025

Clinical Case: Total-etch adhesive cementation of a zirconia Maryland bridge

Using 3M™ Scotchbond™ Universal Plus Adhesive, 3M™ Filtek™ Universal Restorative.


hero image

About the Case

A 27-year-old patient with a congenitally missing tooth 22 received orthodontic treatment for three years, however no sufficient space for placing an implant was achieved, due to root proximity (wagonwheel effect). Treatment plan decision was to place a resin bonded uni-wing Maryland bridge. After extraction of the persistent deciduous lateral incisor, pontic site development was performed with the help of a removable retainer. A very shallow preparation of the palatal surface of the left central incisor with a small positioning groove was performed. A labially veneered zirconia bridge was fabricated and bonded with 3M™ RelyX™ Universal Resin Cement and 3M™ Scotchbond™ Universal Plus Adhesive following a total-etch adhesive protocol.

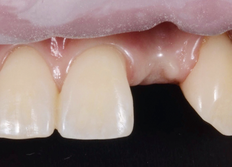
Situation after extraction with flexible retainer for pontic site development.

Pontic site developed.

Palatal view of preparation on model.

Maryland bridge with retention element. Pre-treatment of bonding surface was done by sandblasting followed by priming.

Etching of preparation.

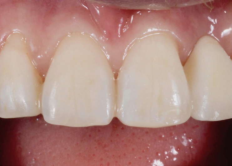
Restoration in place after final clean-up.

Final situation.

Become a part of our Brain Floss blog family and share your clinical case, your insights and your skills with this great community .

We are looking forward to hearing from you!!

The following products were used


Recommended for you


post preview image

Clinical Case: Complex rehabilitation

post preview image

Clinical Case: Post-orthodontic esthetic refinement with 3M™ Filtek™ Easy Match Universal Restorative

post preview image

Clinical Case: Restore form and function in extensive root caries with Solventum™ Filtek™ Easy Match Flowable Restorative

post preview image

Clinical Case: Bonding of a glass-ceramic overlay