/ Clinical Cases / Simplified Shading Composite Systems: The Intuitive Shade Matching Approach with Naturally Adaptive Opacity
August 4, 2025
In the field of dentistry, achieving the perfect shade match for composite restorations has long been a challenge.
The process of shade matching involves selecting the appropriate color of dental composite to seamlessly blend with the patient’s natural teeth, ensuring a harmonious and aesthetically pleasing result. Traditional methods often require the use of multiple shades and meticulous layering techniques, which can be time-consuming and prone to error. However, with the advent of simplified shading systems like the Intuitive Shade Matching approach, coupled with naturally adaptive opacity, this arduous task has been revolutionized, offering both practitioners and patients numerous benefits.

Fig. 1 – Example of a Multi-Shade system guide (Vita classical) with 19 possible shades.
One of the key components of the Intuitive Shade Matching approach is the utilization of single shade composite resins. Brands like 3M™ Filtek™ Easy Match Universal Restorative from Solventum have been at the forefront of this innovation, offering a smart range of composite materials that simplify the shade selection process. Unlike traditional multi-shade systems, single shade composites eliminate the need for complex shade matching protocols, allowing practitioners to achieve consistent and predictable results with minimal effort.

Fig. 2 & 3 – Example of a Simplified customized shade guide (My Shade Guide for Filtek Easy Match, Solventum) with only 3 possible shades (Bright, Natural, Warm).
The concept of naturally adaptive opacity further enhances the efficacy of simplified shading systems. Rather than relying solely on the inherent opacity of the composite material, these systems leverage the natural translucency and opacity of the patient’s tooth structure to create seamless restorations. By mimicking the optical properties of natural teeth, restorations blended with naturally adaptive opacity appear indistinguishable from surrounding dentition, ensuring superior aesthetic outcomes.

Fig. 4, 5 & 6 – Clinical case using a simplified composite resin system (Filtek Easy Match, Solventum)showing the naturally adaptive opacity, regarding the thickness of the material applied.
The advantages of using single shade composite resins and simplified shading systems extend beyond mere convenience. Firstly, the streamlined shade selection process saves valuable chairside time, enabling practitioners to focus on delivering high-quality care efficiently. Additionally, the reduced inventory of composite shades minimizes costs associated with inventory management and waste, making these systems economically viable for dental practices of all sizes.

Fig. 7 – Filtek Easy Match, Solventum, system with only 3 shades – Bright, Natural and Warm.
Despite the limited number of available shades, single shade composite resins demonstrate remarkable intelligence in adapting to a wide range of tooth colors. These innovative materials are designed to seamlessly blend with the majority of shades on the Vita shade guide, as well as the most commonly encountered tooth colors in clinical practice, including bleached teeth. Through their naturally adaptive opacity, these resins possess the ability to harmonize with the natural dentition, ensuring aesthetically pleasing restorations that closely match surrounding teeth. This adaptability not only simplifies the shade selection process but also underscores the versatility and efficacy of modern composite materials in achieving optimal aesthetic outcomes.

Fig. 8 – Filtek Easy Match, Solventum, system with Bright (B), Natural (N) and Warm (W) shades, that covers all 16 Vita Classical shade guide colors.
Moreover, the simplified nature of these systems enhances the overall patient experience. Patients appreciate the expedited treatment process and are more likely to be satisfied with the aesthetic results of their restorations. By eliminating the guesswork associated with traditional shade matching methods, practitioners instill confidence in their patients and foster trust in their clinical abilities.
Furthermore, simplified shading systems promote clinical success by minimizing the potential for errors and inconsistencies. With fewer variables to contend with, practitioners can achieve greater precision and accuracy in their restorative work, leading to superior long-term outcomes for patients. The standardized nature of single shade composites ensures reproducibility across different cases, further enhancing clinical efficiency and reliability.

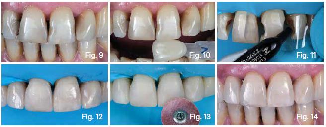
Fig. 9, 10, 11, 12, 13 & 14 – Clinical case by Dr. Paulo Monteiro that exemplify an adult patient with defective old composite restorations and secondaries caries that was restored in a fast and smart way with one single shade direct composite resin (Filtek Easy Match, Solventum).
After the rubber dam application, the old restorations was removed. After the adhesive system application, one single shade of Filtek Easy Match, shade Natural (N) was placed in order to obtain a natural shape and shade.
The volume was corrected with Sof-Lex discs and finishing burs, smoothed with the Sof-Lex Spiral and finally a hight shining polishing paste (Lucida™, DiaShine®) was used to achieve a natural tooth like surface. We can observe the natural integration about shade and opacity of a single shade composite resin.
In conclusion, simplified shading systems represent a significant advancement in modern restorative dentistry. By leveraging the simplicity and efficacy of single shade composite resins, coupled with innovative shade matching techniques, these systems offer practitioners a streamlined solution for achieving optimal aesthetic results. Filtek Easy Match Universal Restorative, with its intuitive shade matching and naturally adaptive opacity, exemplifies this approach, providing practitioners with the tools they need to deliver superior care efficiently and effectively. Embracing these advancements not only enhances the clinical workflow but also elevates the overall patient experience, making simplified shading systems a valuable asset in the contemporary dental practice.
Refer to Instructions for Use (IFU) for complete product information. Results may vary.
Author: Prof. Paulo Monteiro, StyleItaliano
Co-authors: Dr. Walter Devoto, Prof. Angelo Putignano, Dr. Jordi Manauta, Dr. Marcin Krupinski, Dr. Carlos Fernadez Villares, Dr. Bianca Varvara
Refernces: