Blog / Clinical Cases / Post-orthodontic esthetic refinement with 3M™ Filtek™ Easy Match Universal Restorative

Brain Floss Blog


March 28, 2026

Clinical Case: Post-orthodontic esthetic refinement with 3M™ Filtek™ Easy Match Universal Restorative

Using 3M™ Filtek™ Easy Match Universal Restorative.


hero image

About the Case

A patient presented with minor chipping in her anterior teeth. Before any restorative work could be completed, we addressed the underlying cause (malocclusion) through orthodontic alignment. Post-orthodontically, once proper overjet and functional overlap were established, we moved forward with direct composite bonding to restore form and symmetry to the worn incisal edge.

The Challenge

Chipped anterior teeth are often a symptom of deeper occlusal issues. Restoring them without first correcting those forces would compromise longevity. Another minor nuance was selecting the ideal composite shade and consistency; we’re all familiar with the excellent handing of Solventum pastes as well as Solventum™ Filtek™ Easy Match Flowable Restorative’s notable thixotropic properties. The flowable will hold up, in my opinion, if you’re comfortable with the handling.

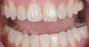
Pre-restorative photos post-orthodontics. Wear facets still visible on lower anteriors; occlusion now corrected with functional anterior decoupling.

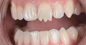
Composite shade try-ins: Bright, Natural, and Warm placed on the incisal edge to assess color under direct lighting.

Continued shade comparisons using Solventum flowables and pastes. NOTE: pointed forms caused by syringe withdrawal, not gravity.

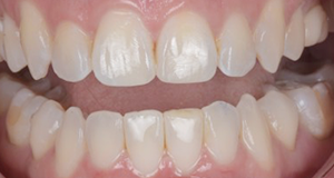
Composite placement complete, prior to fnal polish. Contour restored but surface not yet fnished.

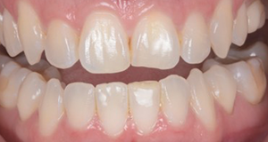
Final result after polishing. Incisal edge restored to match the contralateral central. Smooth contour, functional bite confrmed.

The Outcome

A seamless, single-shade composite restoration that required no layering and minimal chair time: the incisal edge was restored in harmony with the contralateral central, finished, polished, and confirmed to be out of harm’s way in their functional occlusion. The patient was thrilled with the natural aesthetic and the efficient approach.

Would you like this clinical case as a PDF? You can

Download here

Become a part of our Brain Floss blog family and share your clinical case, your insights and your skills with this great community .

We are looking forward to hearing from you!!

The following products were used


Recommended for you


post preview image

Clinical Case: Bonding of a glass-ceramic overlay

post preview image

Clinical Case: Endocrown cementation with 3M™ RelyX™ Universal Resin Cement and 3M™ Scotchbond™ Universal Plus Adhesive

post preview image

Clinical Case: Restore form and function in extensive root caries with Solventum™ Filtek™ Easy Match Flowable Restorative

post preview image

Clinical Case: Narrow Class II Restorations with 3M™ Filtek™ Easy Match