/ The power of precision
Soon after the mass adoption of clear aligners, it became apparent that a plastic shell did not provide sufficient purchase on the teeth for all movements. Attachments, or cured bumps of composite directly bonded to the teeth, were developed to provide a “handle” for these movements. Presumably, attachments provide better engagement between the teeth and aligner. A technique for producing these attachments was developed in which a mold of the dental arch, or template, was used to form attachments directly on the teeth. It is typically accomplished by injecting a small amount of composite into each of the attachment pockets in the template. This method led to a wide range of customization as many sizes and shapes may be produced, in addition to the choice of position and orientation.
However, the procedure is complicated by the difficulty in dispensing the ideal amount of composite into the template.
Figure 1. Dispensing a flowable composite into an attachment template.
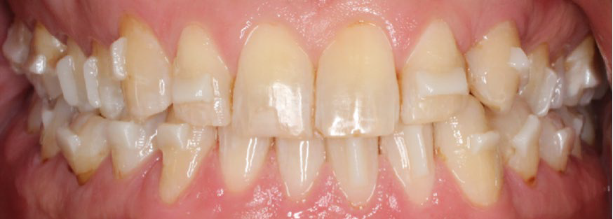
Too little composite results in the risk of bond failure or creating an attachment with voids. In addition to affecting the ability of the aligner to engage the tooth and attachment, voids may cause discomfort as the craters left by bubbles may have sharp edges. Too much composite results in a significant excess, or flash, around the attachment perimeter. Flash may attract stains, harbor plaque and inhibit the ability of the aligner to fully engage the attachment1. All of these depend on mold-filling technique, which can be difficult to standardize.
Figure 2. Examples of poorly formed attachments and flash around attachments.

Figure 3: Variability can lead to excess composite flash or poorly formed attachments (right) that can vary significantly from their intended design (left).
It has been recognized that clinical outcomes may be undermined by the correspondence between the digital representation and the physical article bonded to the teeth2,3. This lack of correspondence may be the result of voids, flash, or distortion of the attachment template. We have used Finite Element Analysis (FEA) simulations to show that both composite flash and displacement may have deleterious effects on the direction of applied force. Figure 4 reinforces the importance of accurately positioned and precisely shaped attachments.

Figure 4: Simulations of the force vectors obtained when attachments are misplaced or malformed and misplaced. The green ‘ideal’ attachment expresses the desired force represented by the green arrow. The orange attachment is ‘misplaced’ 0.5mm occlusally, resulting in force expressed in the direction of the orange arrow, opposite from the desired ‘ideal’ force vector (green arrow). The teal attachment is misplaced and has significant flash, resulting in force being expressed incorrectly (teal arrow), again in a direction askew of the ‘ideal’ force vector (green arrow).
In order to deliver accuracy and precision, an improved process was needed. Ideally, the attachment templates could be delivered pre-loaded with composite. The tiny dimensions and custom shapes of attachments make this difficult, as the pockets would still need to be filled precisely without under- or over-filling. It is difficult to judge the amount of material required to adapt to the curvature of the tooth surface — it must be estimated from the surrounding surface of the template.
To address this, we leveraged 3D printing as a solution. This technology offers the ability to efficiently produce custom articles with complex shapes and intricate detail. In this case, it is used to deliver to the clinician pre-hardened, customized attachments. As shown below, the fully-cured, prehardened Clarity Precision Grip Attachments are delivered in a thermoformed attachment tray that relies on an intuitive bonding procedure.
The tooth surface is prepared and the tray placed in the mouth. Once the attachments have been light cured the attachment tray will be removed from the teeth.

Figure 5: Clarity Aligners Precision Grip Attachments template.
The bonding procedure begins with applying a bonding agent (3M™ Transbond™ XT Light Cure Adhesive Primer) to the tooth-facing surfaces of the Clarity Precision Grip Attachments. The teeth are prophied or etched, and prepped with a separate bonding agent (3M™ Transbond™ Plus Self Etching Primer). The tray is fitted onto the teeth and the bonding agents are cured with a 6-second exposure from an 3M™ Ortholux™ Luminous Curing Light or a 10-second exposure using a 3M™ Elipar™ Curing Light directly over each attachment.
The depiction in Figure 6 shows an attachment plan for a given case.

Figure 6: Tx Design (3D setup) depiction of attachment placement.
As shown in Figure 7, the attachments are very well-defined and free of composite flash after bonding.

Figure 7: Photo of actual Clarity Precision Grip Attachments bonded from the plan depicted in Figure 6.
This demonstrates that the post-bonding results of Clarity Precision Grip Attachments closely mirror the precise shape and virtual placement in the Tx Design. To achieve optimal outcomes, it is crucial that the clinical reproduction of the attachments closely mirrors their virtual placement. This is particularly evident in Figure 8, a post-bonding scan of the Clarity Precision Grip Attachments in Figure 7.

Figure 8: Post-bonding scan of the Clarity Precision Grip Attachments in Figure 7.
A comparison between attachments created via conventional attachment template — mold-in mouth method vs. Clarity Precision Grip Attachments can be seen in Figure 9.

Figure 9: Scans of attachments created via conventional attachment tray – mold-in mouth method – (top) vs. Clarity Precision Grip Attachments (bottom). Both scans were taken prior to any flash removal.
The 3D-printed attachments are more crisp and have less flash than conventional molded attachments. It can also be seen that the defined edges of the attachments are retained. Figure 10 provides a direct comparison between Clarity Precision Grip Attachments and conventional attachments.

Figure 10: Scans of individual teeth with bonded attachments. Clarity Precision Grip Attachments (left) and conventional attachment template (mold-in-mouth attachment) (right). The planned attachment shape and position, patient, and bonding clinician are the same, which enables a direct comparison of the attachments.
Engagement between aligner and attachment is also improved with more precise attachments, as shown by the cross-sections in Figure 11. The gap between the aligner and the attachment is more pronounced and misaligned with conventional attachments, compared to the more precise fit of the 3D-printed Clarity Precision Grip Attachments.

Figure 11: Cross-sectional views of bonded attachment. The engagement was computed for each attachment through physicsbased computational simulations. The gap between the aligner and the attachment is more pronounced and misaligned with conventional attachments compared to the more precise fit of the 3D-printed Clarity Precision Grip Attachments.
The improved engagement may lead to the option of reducing the size and number of attachments while treatment planning. With improved engagement, clinicians may see improved outcomes.
The prescribed bonding protocol provides additional benefits, specifically the elimination of composite flash. This is enabled by using unfilled bonding agents which support an intimate fit between the 3D-printed Clarity Precision Grip Attachments and the teeth. As seen in Figure 12, 3D printing easily produces a tooth-facing side that matches the patient anatomy, allowing thin bonding agents to be used in securing Clarity Precision Grip Attachments to the teeth.

Figure 12: 3D printing easily produces a tooth-facing side that matches patient anatomy.
It is not sufficient to only deliver precisely shaped attachments to their intended locations — the attachments must also survive in use without wearing, chipping or staining. Damage and wear to the attachment over the course of treatment may affect the aligner performance4,5. Moreover, staining from coffee, wine and spices may adversely affect esthetics, undermining the incognito treatment benefits of clear tray aligner therapy6. In response, we developed a proprietary 3D-printed composite to address these needs. The combination of inorganic filler and organic resin provides the hardness to resist surface wear while still affording the toughness to avoid chipping. Further, the proprietary composite and post-processing techniques of Clarity Precision Grip Attachments provide more stain-resistance than leading materials used with conventional attachment templates (Figure 13).

Figure 13: The statistical comparison shows that the 3D printed test samples from Clarity Precision Grip Attachment material show the lowest discoloration in the coffee, red wine and Mustard-Ketchup staining test. The staining tests confirm a significantly lower discoloration for Clarity Precision Grip Attachments in all three staining solutions than for the usual restorative composites used in attachment creation.
With all of these favorable durability attributes, Clarity recision Grip Attachments can still be removed in the usual method, by a bur-driven low- or high-speed handpiece. Some doctors may even find that they can be effectively removed using a debonding tool.
With the launch of Clarity Precision Grip Attachments, we are aiming to solve what matters to our customers and change the course of aligner treatment for good. We leverage our legacy of groundbreaking innovation as a driver to solve for our customers and support them in creating the beautiful healthy smiles patients. This latest innovation is a testament to the future of Solventum, solving important healthcare challenges through the application of materials science, mechanical design and 3D printing techniques. At Solventum we are leaning into a future focused on enabling better, smarter, safer healthcare.
Authored by:
David Cinader received a B.S. Degree in Chemical Engineering from Michigan Tech University in 1994 and a PhD in Chemical Engineering in 1999 from Northwestern University. He joined SM Unitek Research and Development in September 1999 and has been involved in orthodontic product development including Clarity™ Aligners, 3M™ Digital Bonding. 3M™ APC™ Flash-Free Adhesive, 3M™ Transbond™ Plus Self-Etching Primer, 3M™ APC™ II, 3M™ APC™ PLUS and 3M™ Transbond™ Supreme Low Viscosity Adhesives.
Dr. Michael K. Domroese received a BS Degree in Mechanical Engineering from Valparaiso University in 1984 and a PhD in Mechanical Engineering in 1992 from Massachusetts Institute of Technology. He worked in the 3M Corporate Research Lab from 1992-2018. He joined 3M Dental Solutions Research and Development in 2018. He has been involved in the development of custom orthodontic products including Clarity™ Aligners.
Nick Poeschl is a Product Development Engineer at Solventum in the Dental Solutions business, specializing in modeling, simulation and design. With 5 years of experience in the healthcare industry, he has focused on the development of clear tray aligners and has contributed to the development of 3M™ Clarity™ Precision Grip Attachments. Nick holds a Bachelor’s Degree from the University of St. Thomas – Minnesota
1. Kiong M, Ashari A, Zamani NSM, How RAWM, Wahab RMA, Mohamed AMFS, Lee HJ, Mokhtar MHH. Effect of attachment flash on clear aligner force delivery: an in vitro study. BMC Oral Health. 2024 May 7;24(1):538. doi: 10.1186/s12903-024-04284-9. PMID: 38715004; PMCID: PMC11075209
2. Salmeri, Fabio & Barberi, Emmanuele & Lipari, Frank & Nicita, Fabiana. (2023). A Novel Quality Assessment Method for the Clinical Reproduction of Orthodontic Attachments Based on Differential Entropy. 15. 10.3390/ASEC2023-15245.
3. Topsakal, K.G., Gökmen, Ş., Yurdakurban, E. et al. The effect of layer thickness on the accuracy of the different in-house clear aligner attachments. Clin Oral Invest 27, 5331–5341 (2023). https://doi.org/10.1007/s00784-023-05153-5
4. Lin S, Huang L, Li J, Wen J, Mei L, Xu H, Zhang L, Li H. Assessment of preparation time and 1-year Invisalign aligner attachment survival using flowable and packable composites. Angle Orthod. 2021 Sep 1;91(5):583-589. doi: 10.2319/063020-598.1. PMID: 33848325; PMCID: PMC8376162.
5. Gazzani, Francesca & Bellisario, Denise & Quadrini, Fabrizio & Parrinello, Francesca & Pavoni, Chiara & Cozza, Paola & Lione, Roberta & Tepedino, Michele & Staderini, Edoardo & Souki, Bernardo.
(2022). Comparison Between Different Composite Resins Used for Clear Aligner Attachments: An In-Vitro Study a section of the journal Frontiers in Materials. Frontiers in Materials. 8. 1. 10.3389/ fmats.2021.789143.
6. Erçin Ö, Kurnaz M, Kopuz D. Evaluation of the color stability of attachments made with different resin composites. Am J Orthod Dentofacial Orthop. 2023 Oct;164(4):e121-e128. doi: 10.1016/j.
ajodo.2023.07.008. Epub 2023 Aug 12. PMID: 37565944.
*3M data on file.