/ Clinical Cases / Choosing Composite Shades in Restorative Dentistry: A Practical Guide
August 18, 2025
Composite resin materials have become indispensable in modern restorative dentistry due to their aesthetic qualities, durability, and versatility.
However, selecting the appropriate shade of composite for each clinical case is crucial for achieving optimal esthetic outcomes. While single shade composites have evolved to offer remarkable color adaptation properties, multi/dual shade systems continue to provide versatility and precision in mimicking natural tooth colors. This article aims to provide dentists with practical guidance on when to use multi/dual composite shades versus single shade composites, along with important considerations to enhance decision-making in clinical practice.
Composite shades are typically classified as single shade/opacity or multi/dual shades/opacities. Single shade composites offer simplicity in application, as they provide a uniform color throughout the restoration. Single shade composites have undergone significant advancements in recent years, owing to innovations in material technology and formulation. Today’s single shade composites boast enhanced color adaptation properties, allowing for seamless blending with surrounding dentition. These materials exhibit improved opacity, translucency, and fluorescence, mimicking the optical characteristics of natural teeth with remarkable precision. On the other hand, multi/dual composite shades consist of two or more components designed to mimic the natural variations in tooth color, providing a lifelike appearance.
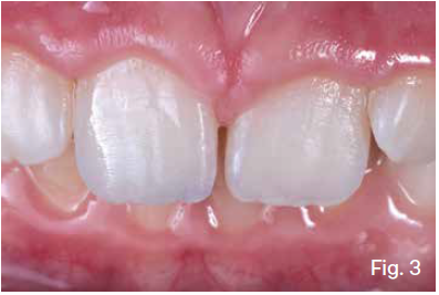
For young patients with rich details and translucence in their natural teeth, opting for multi/dual composite shades becomes more advantageous. Multi/dual composite shades excel in replicating the intricate nuances of natural tooth color and opacities, making them indispensable in achieving precise color matching and blending in anterior restorations and cases involving complex color variations. Specifically, they are beneficial in cases requiring seamless transitions between different tooth structures like incisal edges, incisal translucence, dentin effects, and inter-proximal areas.

Fig. 1 & 2 – Example of a young patient with rich details and translucence in their natural teeth and need for a dual layer composite restoration.

Fig. 3 – Same patient after the dual shade composite restoration with the natural translucence details done with 3M™ Filtek™ Supreme Ultra Universal Restorative dentin, enamel and translucent shades.
While advancements in single shade composites have rendered them more efficient and predictable for certain cases, it’s important to underline that adults naturally lose enamel and translucency over time. This natural process makes single shade composites preferable for cases where color matching is less critical, such as straightforward anterior restorations or in posterior teeth. These materials now feature improved color stability, opacity, and fluorescence, enabling seamless integration with natural dentition. These materials offer simplicity in application and good aesthetic outcome.

Fig. 4 & 5 – Example of an adult patient with losing of enamel and translucency over time, and after a single shade composite resin restorations done with 3M™ Filtek™ Universal Restorative.

Fig. 6, 7, 8, 9, 10 & 11 – Clinical case by Dr. Marcin Krupinski showing an adult patient with loss of enamel and translucency, that was restored in a fast and smart way with one single shade direct composite resin.
After the split rubber dam application, the new restoration’s shape was performed with the help of Unica matrix (Polydentia). After the adhesive system application, one single shade of 3M™ Filtek™ Universal Restorative was placed on the buccal surface in order to obtain the new shape and volume desired. After removing the Unica matrix, the shape and volume were corrected with 3M™ Sof-Lex™ Discs and Finishing Burs, smoothed with a 3M™ Sof-Lex™ Spiral Finishing and Polishing Wheel and finally a high shining polishing paste (Lucida™, DiaShine®) was used with a star felt to achieve a natural tooth like surface.
The Filtek Easy Match composite resin introduces an innovative single-shade system, designed to simplify the restorative process while maintaining exceptional aesthetic results. This system features intuitive color selection and a remarkable chameleon effect, allowing it to blend seamlessly with multiple shades from the Vita Classical shade tab. By leveraging this shade-matching technology, the resin adapts to the natural tooth color, covering a wide range of hues with just one material, reducing the need for multiple shades and simplifying inventory management. The ability of Filtek Easy Match to mimic surrounding tooth structures enhances both the efficiency and quality of anterior and posterior restorations, offering a user-friendly and aesthetically superior option for dental professionals.

Fig 12 & 13 – Clinical case by Dr. Paulo Monteiro that exemplify the use of an innovative single shade composite system (Filtek Easy Match) in aesthetic anterior restorations. In this case six direct composite veneers were done with the Filtek Easy Match Bright shade, to increase the aesthetic and uniformize the smile. We can observe the natural integration of the restorations with the adjacent teeth and the soft tissues.
In the realm of restorative dentistry, the judicious selection of composite shades is a multifaceted decision influenced by various factors, including case complexity, patient preferences, and material advancements. Choosing the appropriate composite shade is a critical aspect of restorative dentistry that significantly influences the final esthetic outcome. By understanding the indications for single shade versus multi/dual composite shades and considering important clinical considerations, dentists can consistently achieve superior esthetic results for their patients. With careful planning and execution, composite restorations can seamlessly blend with natural dentition, restoring both function and beauty to the smile.
Refer to Instructions for Use (IFU) for complete product information. Results may vary.
Author: Dr. Paulo Monteiro, Dr. Giuseppe Chiodera, Style Italiano.
Co-authors: Dr. Walter Devoto, Prof. Angelo Putignano, Dr. Jordi Manauta, Dr. Marcin Krupinski, Dr. Carlos Fernadez Villares, Dr. Bianca Varvara.
Refernces: