Blog / Clinical Cases / Narrow Class II Restorations with 3M™ Filtek™ Easy Match

Brain Floss Blog


February 24, 2026

Clinical Case: Narrow Class II Restorations with 3M™ Filtek™ Easy Match

Using 3M™ Filtek™ Easy Match Universal Restorative.


hero image

About the Case

This young 20-year-old man came to my office for a check-up. He told me he used an electric toothbrush but did not use dental floss. His oral hygiene was fair. After performing a clinical examination and bitewing radiographs, I found the presence of interproximal carious lesions at the upper left premolars. According to the Anusavice and Benn classification (2005), these were D1 lesions, thus deserving restorative treatment.

The Challenge

The biggest challenge with such lesions is creating minimally invasive cavities for caries removal, but most importantly, ensuring proper compaction of the material in cavities that are narrow and relatively deep without creating gaps, especially at the periphery.

Another challenge is the difficulty during the etching phase, particularly in selectively applying the etching gel to enamel and dentin with correct timing.

Lower row of molars and premolars with visible gums and inner cheek.

Pre-op Photo (occlusal view) As you can see it’s difficult to find interproximal cavities using only the clinical exam.

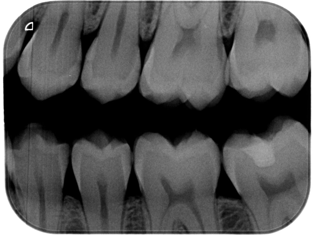
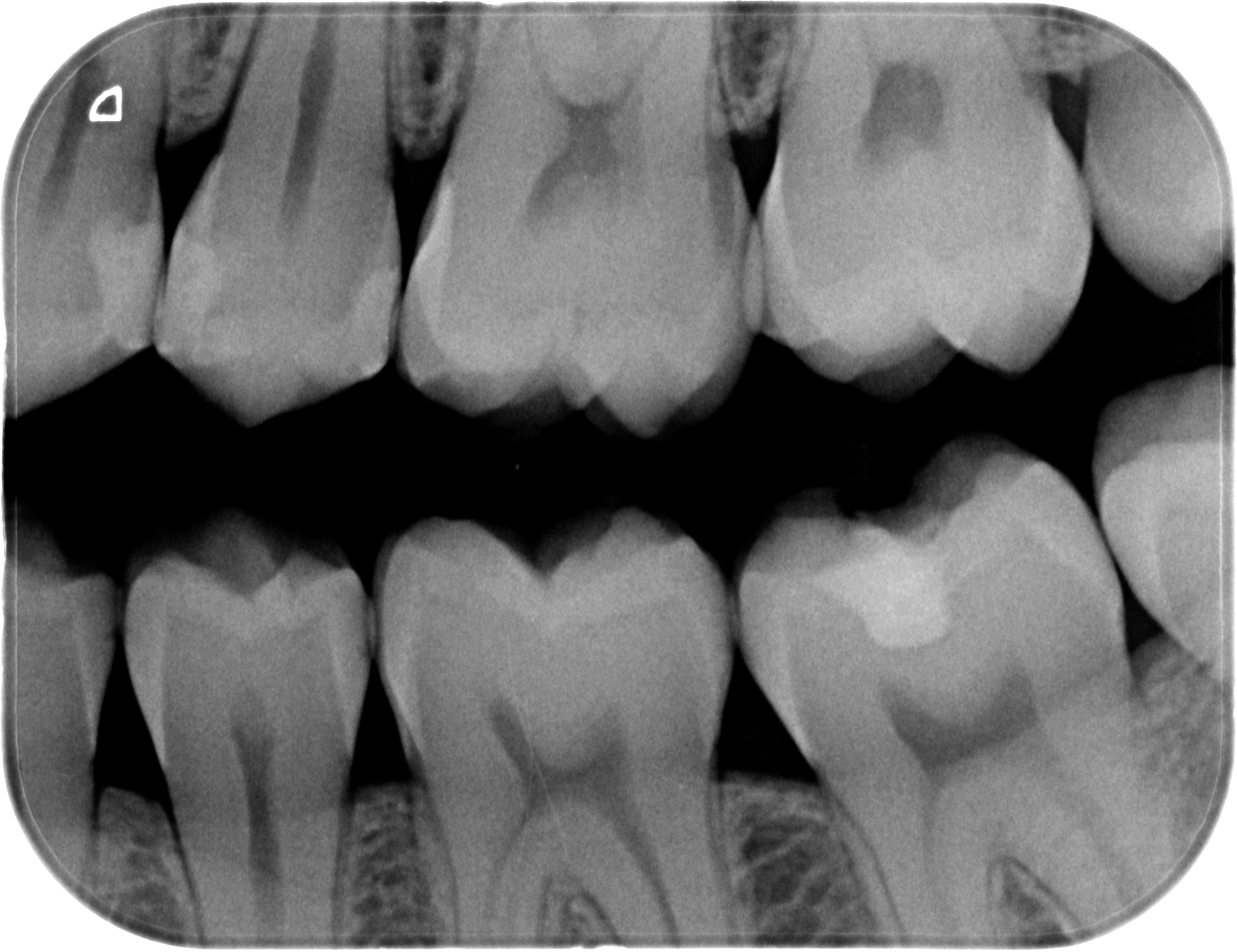
Dental X-ray showing multiple upper and lower teeth with visible roots and crowns

Pre-op bitewing radiograph: it’s possible to appreciate the D1 lesions on the premolars.

Five molar teeth isolated with a blue dental dam

The rubber dam is properly placed.

Close-up of four molar teeth isolated with a blue dental dam, two teeth have cavities prepared for fillings

Minimally invasive interproximal boxes are opened in order to remove the carious lesions.

Close-up of molar teeth with dental matrix bands and wedges in place for restorative treatment

Sectional matrices, wedges and rings are properly placed, and selective enamel etching is performed.

Close-up of dental procedure with rubber dam and metal matrix bands around molars and a dental instrument applying material between teeth

The adhesive phase is performed with 3M™ Scotchbond™ Universal Plus Adhesive and light cured.

Close-up of molar teeth with dental matrix bands and a rubber dam clamp in place

A thin layer of flowable composite is placed. Sectional matrices are fully adapted with some light-cured resin barrier, in order to achieve a perfect adaptation at the periphery of the Class II cavities for a faster and easier refining phase.

Black plastic device labeled 'Easy Match' with a gray nozzle on a blue surface

3M™ Filtek™ Easy Match Universal Restorative Natural Shade has been selected for this case.

Close-up of molar teeth with dental matrix bands and a rubber dam clamp in place

The cavities in the second premolar are very narrow, allowing them to be filled in one step, with careful attention to proper compaction of the composite material using narrow pluggers. Additionally, marginal distal ridge is built in the first premolar.

Close-up of four molar teeth isolated with a blue dental dam and separated by orange wedges

The residual cavity in the premolar is filled and occlusal anatomy is shaped.

Close-up of four molar teeth isolated with a blue dental dam and metal clamp on the leftmost tooth

After a quick finishing phase, the restorations are polished with rubber burs and a polishing brush.

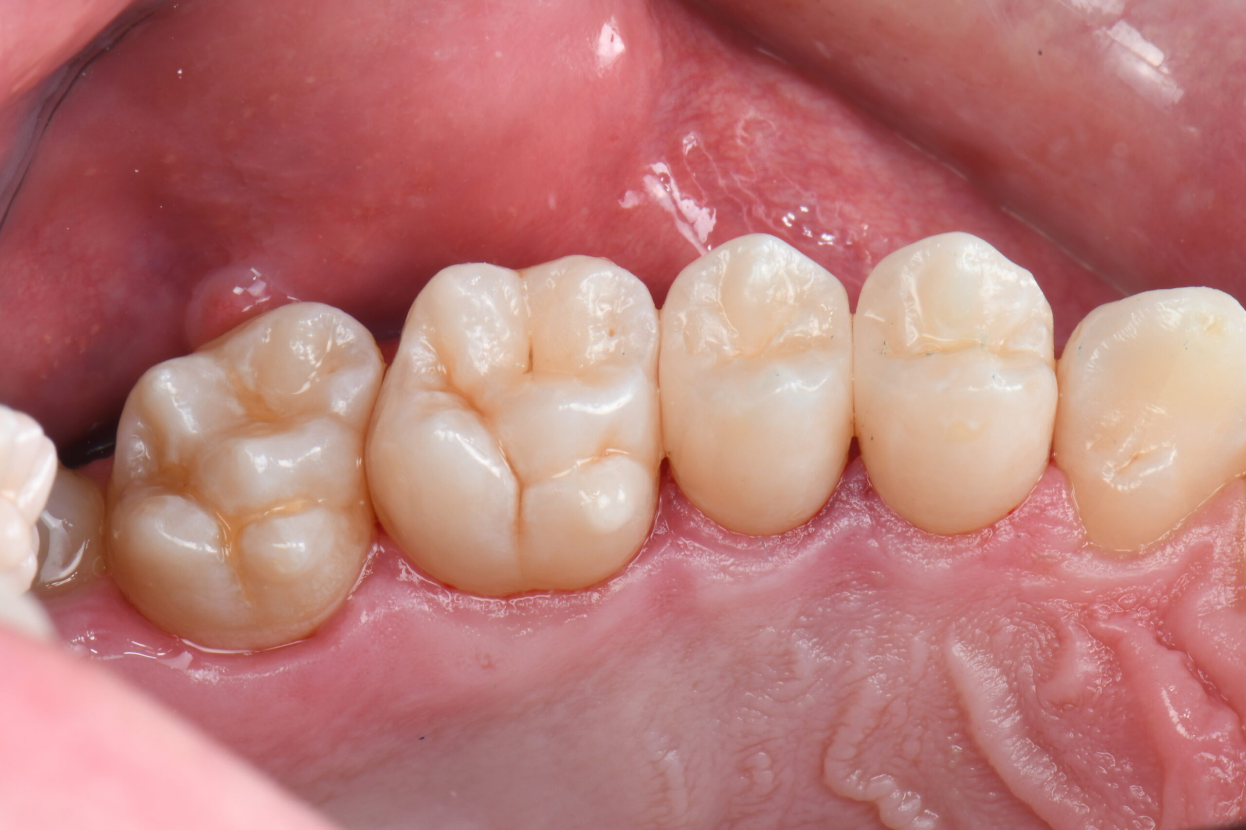
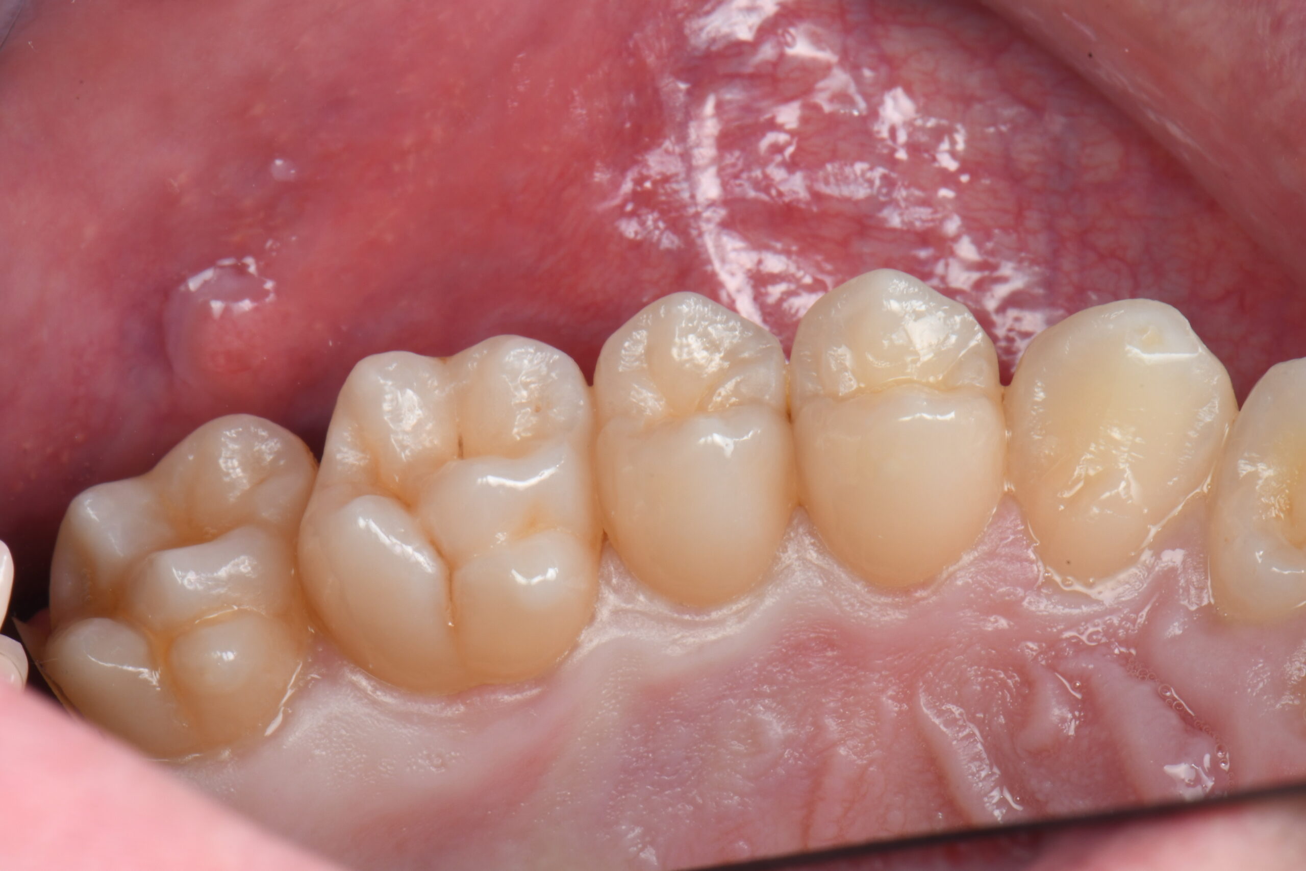
Close-up of six lower molars and premolars with visible occlusal surfaces and surrounding gum tissue

Immediate occlusal post-op photo after rubber dam removal and occlusal adjustments.

Close-up of four lower molars with visible grooves and cusps inside the mouth

Pre-op palatal view.

Close-up of molars with dental dam and metal clamp on one tooth

Post-op palatal view under rubber dam isolation.

Close-up of four lower molars with visible grooves and cusps on the chewing surfaces

Post-op palatal view after rubber dam removal and occlusal adjustments.

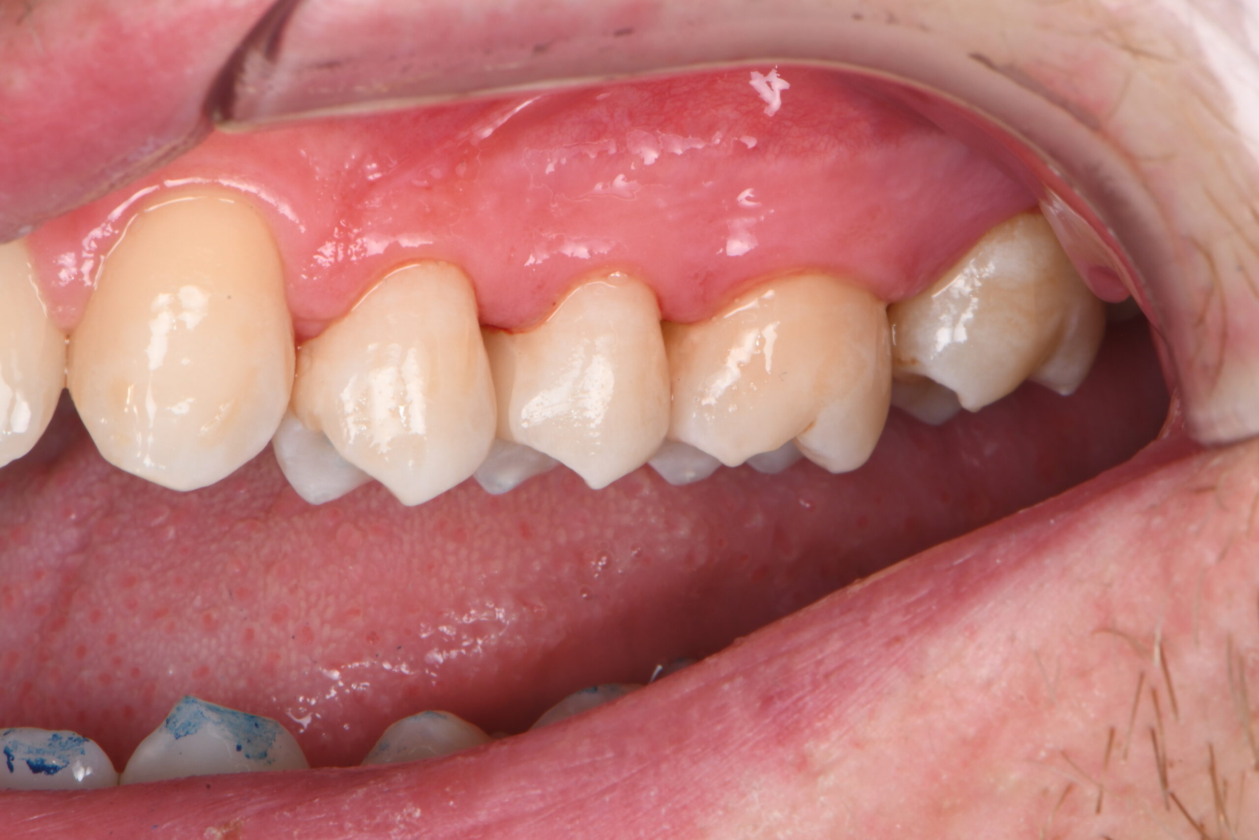
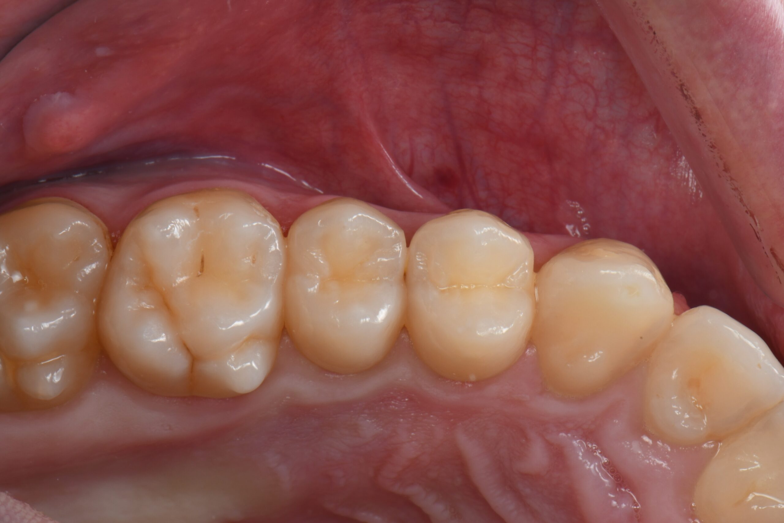
Close-up of lower molars and premolars with visible dental plaque and discoloration on some teeth

Pre-op vestibular view.

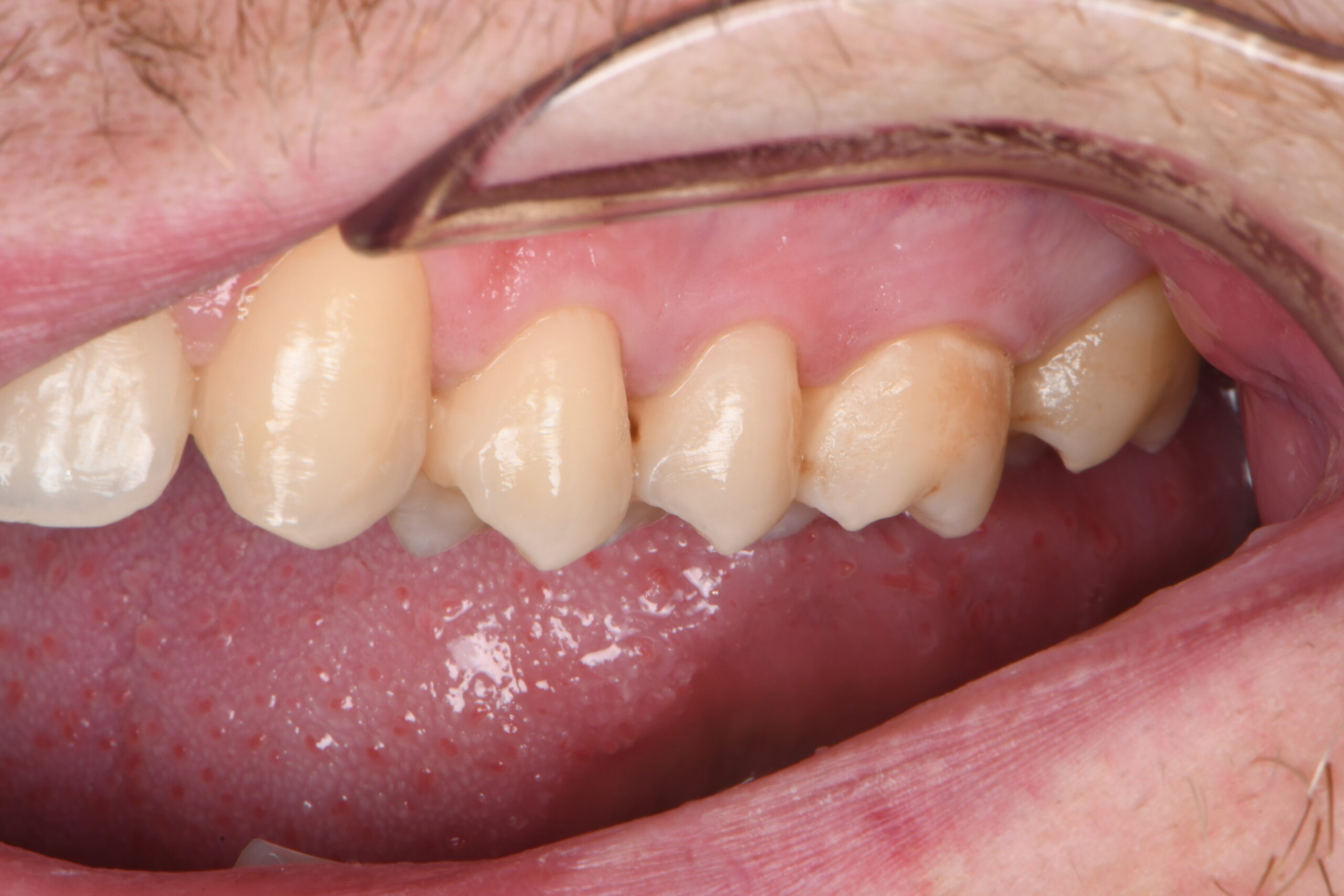
Close-up of upper teeth showing dental crowns and natural teeth with visible gums

Post-op vestibular view.

Dental X-ray showing molars and premolars with one tooth having a visible filling

Post-op bite wing radiograph, essential for verifying the adequacy of composite compaction.

The Outcome

3M™ Filtek™ Easy Match Universal Restorative made the biggest challenge possible to solve, thanks to its easy handling and absence of stickiness to the composite plugger.

Additionally, after applying a thin layer of flowable composite on the exposed dentin, it is possible to perform a one-step restoration in cases of very narrow Class II cavities, such as those on the second premolar.

However, whenever possible, it’s always preferable to build a marginal ridge first and then fill the remaining Class I cavity as I did on the first premolar.

Finally, an aspect that I always appreciate, even in the posterior teeth, is that this composite matches perfectly with the surrounding tissues also in case of a single mass technique.

Regarding the etching phase, I performed selective enamel etching, however in cases with very narrow cavities and difficult control with the application of etching gel, I use 3M™ Scotchbond™ Universal Plus Adhesive, because it works well with all types of etching techniques.

Become a part of our Brain Floss blog family and share your clinical case, your insights and your skills with this great community .

We are looking forward to hearing from you!!

The following products were used


Recommended for you


post preview image

Clinical Case: Endocrown cementation with 3M™ RelyX™ Universal Resin Cement and 3M™ Scotchbond™ Universal Plus Adhesive

post preview image

Clinical Case: Post-orthodontic esthetic refinement with 3M™ Filtek™ Easy Match Universal Restorative

post preview image

Clinical Case: Restore form and function in extensive root caries with Solventum™ Filtek™ Easy Match Flowable Restorative

post preview image

Clinical Case: Tooth vs. Fork with 3M™ Filtek™ Easy Match Universal Restorative