Blog / Clinical Cases / Restore form and function in extensive root caries with Solventum™ Filtek™ Easy Match Flowable Restorative

Brain Floss Blog


March 25, 2026

Clinical Case: Restore form and function in extensive root caries with Solventum™ Filtek™ Easy Match Flowable Restorative

Using Solventum™ Filtek™ Easy Match Flowable Restorative.


hero image

About the Case

38-year-old male. Previous worked as a chef with high incidence of energy drink consumption. Extensive root caries noted. Patient referred for comprehensive treatment, to improve aesthetics and to try to salvage as many teeth as possible.

The Challenge

Restore form and function, provide an easy to clean surface and reduce risk factors. Root caries is especially difficult to isolate and treat as it tends to spread around the circumference of the teeth and is often more extensive than initially presumed.

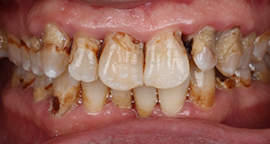
Close-up of a mouth showing severely decayed and discolored teeth

Pre-op situation Extensive root caries in almost every tooth. Clearly it is important to improve the patient’s hygiene (and diet) but to improve hygiene we really need to provide an easy to clean surface and build back some confidence and pride in the dentition.

Close-up of upper and lower teeth showing significant plaque and tartar buildup

Anterior restorations were done in a previous appointment. Even with a single shade using 3M™ Filtek™ Easy Match Universal Restorative Bright Shade, a nice and natural result was obtained.

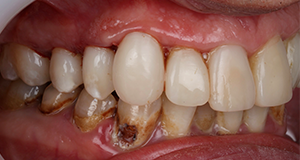
Close-up of teeth with severe decay and discoloration

Detail of the right quadrants. Root caries like this is especially tricky to treat as it tends to spread around the circumference of the teeth and is often more extensive than initially presumed.

Close-up of three molar teeth with dental dam and metal clamp

Preparations in upper right quadrant.

Close-up of three molar teeth with dental dam in place

Preparations in upper right quadrant. More details of the cavity extension of second upper right premolar distal.

Close-up of molar teeth with dental dam and orange dental instrument inserted between two teeth

OC Clamp and Bioclear™ Diamond Wedge to isolate. Pre-wedge helps to gain visibility and better access for cavity restoration.

Dental procedure showing a dental tool applying material to a tooth with a dental dam in place

Solventum™ Filtek™ Easy Match Flowable Bright shade alone was selected to restore small cavities. Viscosity is perfect for excess control in small cavities in mesial upper right first molar and mesial upper right second premolar.

Close-up of three molar teeth with dental fillings and a metal dental clamp

Finished restoration in upper right first molar (mesial). Notice the polish and perfect shape achieved with a flowable restorative.

Close-up of three molar teeth isolated with a dental rubber dam and metal clamp

Sectional matrix and Incidental Ring to restore distal preparation in second premolar. After adhesive procedure using 3M™ Scotchbond™ Universal Plus Adhesive, Solventum™ Filtek™ Easy Match Flowable and 3M™ Filtek™ Easy Match Universal Restorative, both in Bright shade.

Close-up of three molar teeth with a dental clamp and rubber dam in place

U Band for the buccal and mesial preparations in second premolar. Here the material will inevitably be overbuilt on the mesial aspect but will simply be trimmed back.

Close-up of three teeth with a metal dental clamp around one tooth

OC Clamp to isolate subgingival buccal. First premolar is a very difficult cavity. Look how the Incidental Ring can work around the clamp still to produce a decent contact profile.

Dental impression tray with attached metal handle and dental model on blue background

Detail of Incidental Ring.

Close-up of four molar teeth with a dental clamp and blue rubber dam around them

Distal contact in first premolar.

Close-up of three dental crowns fitted on a blue dental model with a metal clamp

Close-up of dental tools working on a molar tooth with a blue dental dam in place

Concave margin mesial. Custom Mylar band and Bioclear™ Diamond Wedge were used. Incidental Ring showing versatility.

Close-up of three teeth with dental clamp and blue dental dam

Quick clean up and buccal cavity to finish.

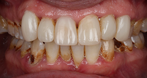
Close-up of lower and upper teeth showing severe dental decay and missing teeth

Immediate post-op result. Buccal view.

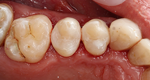
Close-up of lower molars and premolars showing dental anatomy and occlusal surfaces

Immediate post-op result. Occlusal view.

The Outcome

This entire case has been completed so far with Filtek™ Easy Match shade ‘bright’ in paste and flowable preparations. The matrixing has been challenging in places but the versatility and simplicity of the composite used has certainly helped produce the result. I am most proud of the aesthetics and polish produced with a single shade restorative approach.

Would you like this clinical case as a PDF? You can

Download here

Become a part of our Brain Floss blog family and share your clinical case, your insights and your skills with this great community .

We are looking forward to hearing from you!!

The following products were used


Recommended for you


post preview image

Clinical Case: Bonding of a glass-ceramic overlay

post preview image

Clinical Case: Endocrown cementation with 3M™ RelyX™ Universal Resin Cement and 3M™ Scotchbond™ Universal Plus Adhesive

post preview image

Clinical Case: Post-orthodontic esthetic refinement with 3M™ Filtek™ Easy Match Universal Restorative

post preview image

Clinical Case: Narrow Class II Restorations with 3M™ Filtek™ Easy Match