Blog / Clinical Cases / Easily Matching a Class V Non-Cervical Carious Lesion

Brain Floss Blog


August 25, 2025

Clinical Case: Easily Matching a Class V Non-Cervical Carious Lesion

Using 3M™ Filtek™ Easy Match Universal Restorative, and 3M™ Scotchbond™ Universal Plus Adhesive.


hero image

About the Case

Restoring non carious lesions is a topic for many debates. Considerations such as retention, isolation and esthetics are always important to evaluate in order to provide the patient with lasting results. Often, tooth shades in the cervical region tend to be richer in chroma. 3M™ Filtek™ Easy Match Universal Restorative offers a simple, intuitive solution for shade matching in these richly-colored areas as well.

Initial situation

Rubber dam isolation and adequate retraction are key to success in treating NCCL. Plaque and debris are removed with sodium bicarbonate air — powder polishing

Phosphoric acid is used to selectively etch the enamel, to enhance retention

3M™ Scotchbond™ Universal Plus Adhesive is applied to the preparation for 20 seconds, on both enamel and dentin, dried and cured

A composite instrument is used to shape Filtek Easy Match Universal Restorative

Contour before finishing and polishing. Note the smooth transition between the tooth and the restoration

Mesiobuccal view of the restoration. Note the natural emergence profile of the tooth has been preserved and restored

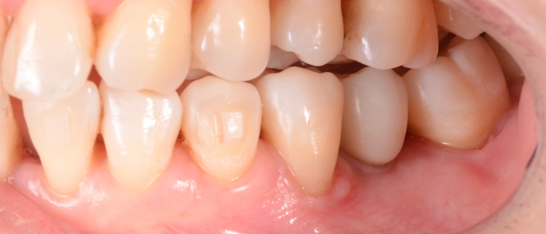
Result after removal of rubber dam. Note the smooth color blend between the restoration and the natural tooth

Become a part of our Brain Floss blog family and share your clinical case, your insights and your skills with this great community .

We are looking forward to hearing from you!!

The following products were used


Recommended for you


post preview image

Clinical Case: Bonding of a glass-ceramic overlay

post preview image

Clinical Case: Endocrown cementation with 3M™ RelyX™ Universal Resin Cement and 3M™ Scotchbond™ Universal Plus Adhesive

post preview image

Clinical Case: Post-orthodontic esthetic refinement with 3M™ Filtek™ Easy Match Universal Restorative

post preview image

Clinical Case: Restore form and function in extensive root caries with Solventum™ Filtek™ Easy Match Flowable Restorative