Blog / Clinical Cases / Functional polyether impressions for removable dentures

Brain Floss Blog


October 27, 2025

Clinical Case: Functional polyether impressions for removable dentures

Using 3M™ Impregum™ Penta™ Soft Polyether Impression Material.


hero image

About the Case

65-year-old male patient, totally edentulous for last 15 years. Advanced alveolar bone resorption in the upper and especially in the lower jaw. The patient has only a maxillary total removable prosthesis and none in the mandible because it was lost due to its poor retention.

Challenge

The challenge was the atrophy of the alveolar bone and the hyperactive muscles of the floor of the mouth. The initial treatment plan was to fabricate a total removable prosthesis in the upper jaw and an implant-supported removable prosthesis in the lower jaw.

Close-up view of the inside of a person's mouth, showing the lower gums, tongue, and oral tissues with visible saliva.

Initial situation: moderate alveolar ridge resorption of the upper jaw and advanced resorption of the lower jaw.

Close-up of a person's mouth showing upper dentures and missing lower teeth.

The old denture of the upper jaw. The denture of the lower jaw was lost many years ago.

A close-up photo of a dental model showing a set of artificial teeth with pink gum material on the upper and lower jaws.

Initial bite registration using the old prosthesis of the upper jaw and a silicone ridge.

Five dental impression trays are shown in a left-to-right sequence, each displaying different colored materials applied in progression, indicating impression-taking steps.

Preparation for the functional impression workflow: try-in of the individual tray; tray adhesive application on the tray margins; refining the marginal accuracy with VPS material; application of tray adhesive, loading the tray with the impression material.

A gloved hand holds a dental impression tray while a purple dispenser applies dental material onto the tray.

A proper loading of the impression material into the impression tray – keeping the mixing tip always immersed into the material.

Purple dental impression material shaped for an upper jaw, with pink handle at the top, against a white background.

Final functional impression of the upper jaw made with individual tray using 3M™ Impregum™ Penta™ Soft polyether impression material.

Final functional impression of the lower jaw made with individual tray using 3M™ Impregum™ Penta™ Soft polyether impression material.

Close-up of a the bottom half of a male face measuring the length of the upper lip.

Measuring the length of the upper lip.

The master models for the fabrication of final maxillary and mandibular removable dentures.

Individual setup of acrylic teeth’s using wax on the acrylic denture base, following the patient’s skeletal type: Skeletal Class Angle II-1 and high gonial angle.

Try-in of the dentures.

Final maxillary and mandibular removable dentures. Setup of acrylic teeth in removable dentures is made according to the patient’s skeletal type: Skeletal Class Angle II-1 and high gonial angle.

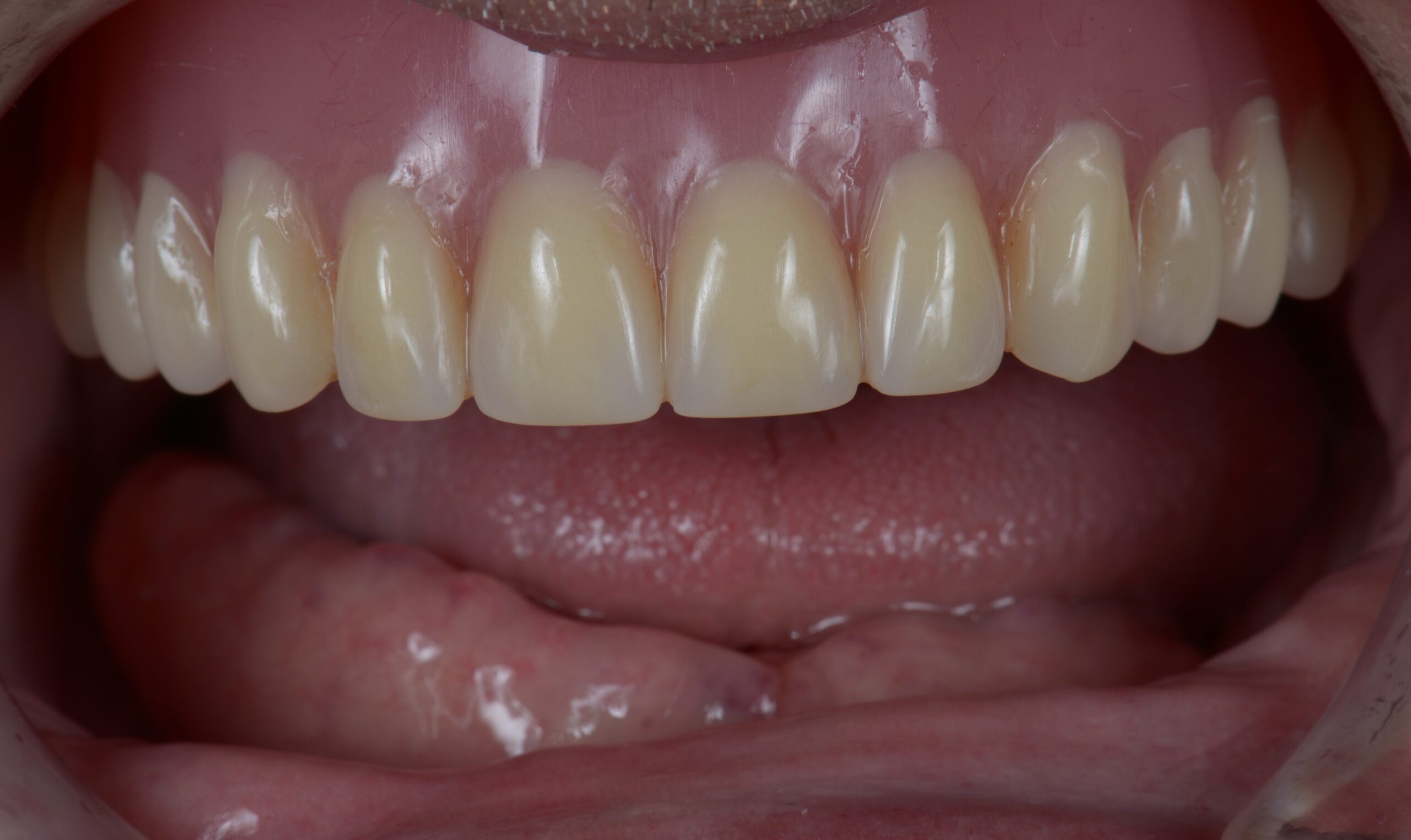
Intraoral view of the final maxillary and mandibular removable dentures.

Extraoral view of the patient with the final maxillary and mandibular removable dentures.

Outcome

Patient is absolutely satisfied with the aesthetics and retention of upper and lower jaw removable dentures. He is happy that implantation was not needed to achieve these results.

Become a part of our Brain Floss blog family and share your clinical case, your insights and your skills with this great community .

We are looking forward to hearing from you!!

The following products were used


Recommended for you


post preview image

Clinical Case: Selective-etch adhesive bonding of a glass ceramic onlay

post preview image

Clinical Case: Class IV Restorations with 3M™ Filtek™ Easy Match Universal Restorative

post preview image

Clinical Case: Selective-etch adhesive cementation of chairside CAD/CAM glass ceramic inlays

post preview image

Clinical Case: Gingival recession restored with 3M™ Filtek™ Easy Match Universal Restorative