Blog / Clinical Cases / Restoring front teeth with injection moulding technique

Brain Floss Blog


September 8, 2025

Clinical Case: Restoring front teeth with injection moulding technique

Using 3M™ Scotchbond™ Universal Plus Adhesive, 3M™ Filtek ™ Universal Restorative.


hero image

About the Case

Severe cases of dental wear are becoming increasingly common in practice. Sometimes, due to the speed or financial possibilities of the patient, composite resins are a viable alternative as a restorative material. Injected composite techniques allow us to carry out restorations in a quick, straightforward, and predictable manner, saving a significant amount of time that would require hours of work in the dental chair if done freehand. The selected treatment was 6 composite restorations in 6 front upper teeth.

Challenge

It is important to select the appropriate case for this technique. Generally, composites in erosive cases perform poorly against acidic action, which means it will result in an interim treatment, or the restorations will need to be replaced within a medium timeframe. Patients with bruxism are often ideal candidates for this treatment.

Outcome

3M™ Filtek™ Universal Restorative was the composite selected for its simplicity, ability to blend with the natural colour of adjacent teeth, and the possibility of safely warming it without altering its physical properties or transferring heat to the pulp that could cause some type of inflammatory reaction. The final result is very satisfactory for both the patient and the professional, in terms of time, budget, and in a single appointment.

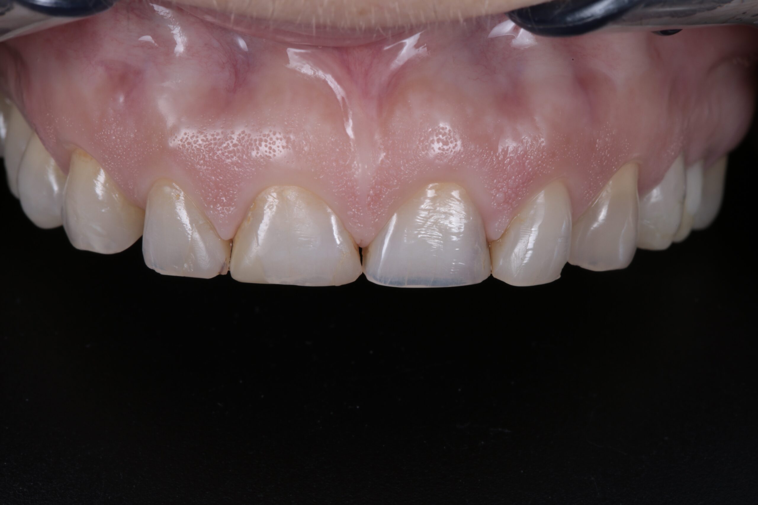
Initial situation. Properly clean the dental surface and gently remove the biofilm (e.g. glycine prophylaxis powder or fluoride-free paste). It is preferable not to use sodium bicarbonate prophylaxis powder.

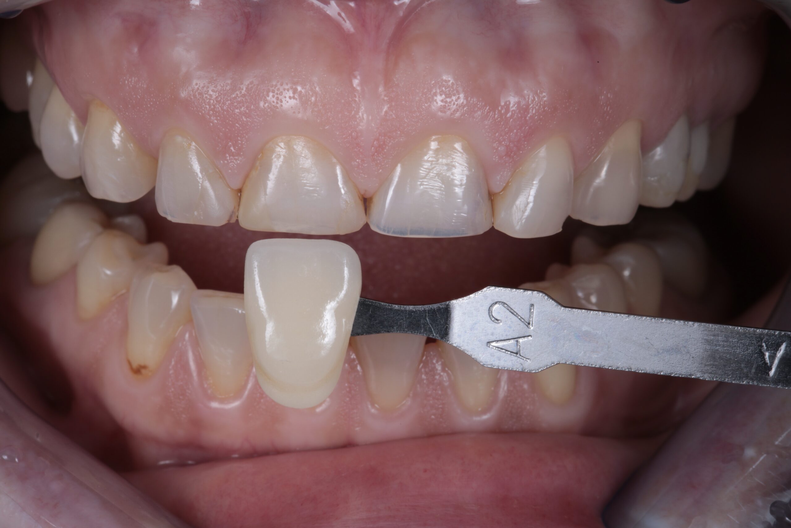
Shade selection. In this case, it was selected 3M™ Filtek™ Universal Restorative A2.

Digital diagnostic wax-up

1. Initial situation

2. Wax-up #1 with alternating teeth

3. Wax-up #2 with all teeth

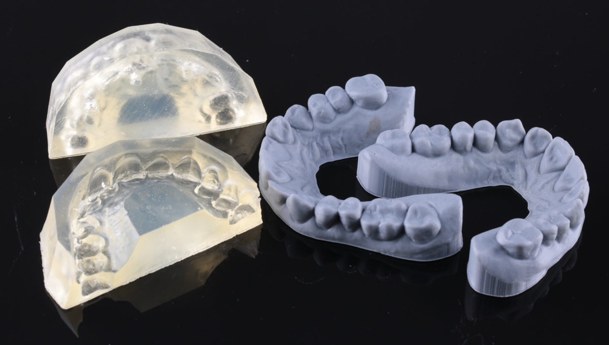
Wax-up 3D-printed models

Model #1 – Initial situation (optional)

Model #2 – Alternating teeth

Model #3 – All teeth

Manufacture of 2 transparent silicone keys on Model 2 and Model 3. A transparent silicone with the highest rigidity possible is recommended. In this case, key #1 will be used to restore teeth 13, 11, and 22, while key #2 will be used for teeth 12, 21, and 23. It is important to restore alternating teeth each time.

Each silicone key will have a hole that matches the diameter of the capsule over the tooth to be restored.

The holes should be oriented towards the palatal side so that the buccal face is not affected.

Check the correct fit of the transparent silicone keys. It is recommended to place absolute or relative isolation.

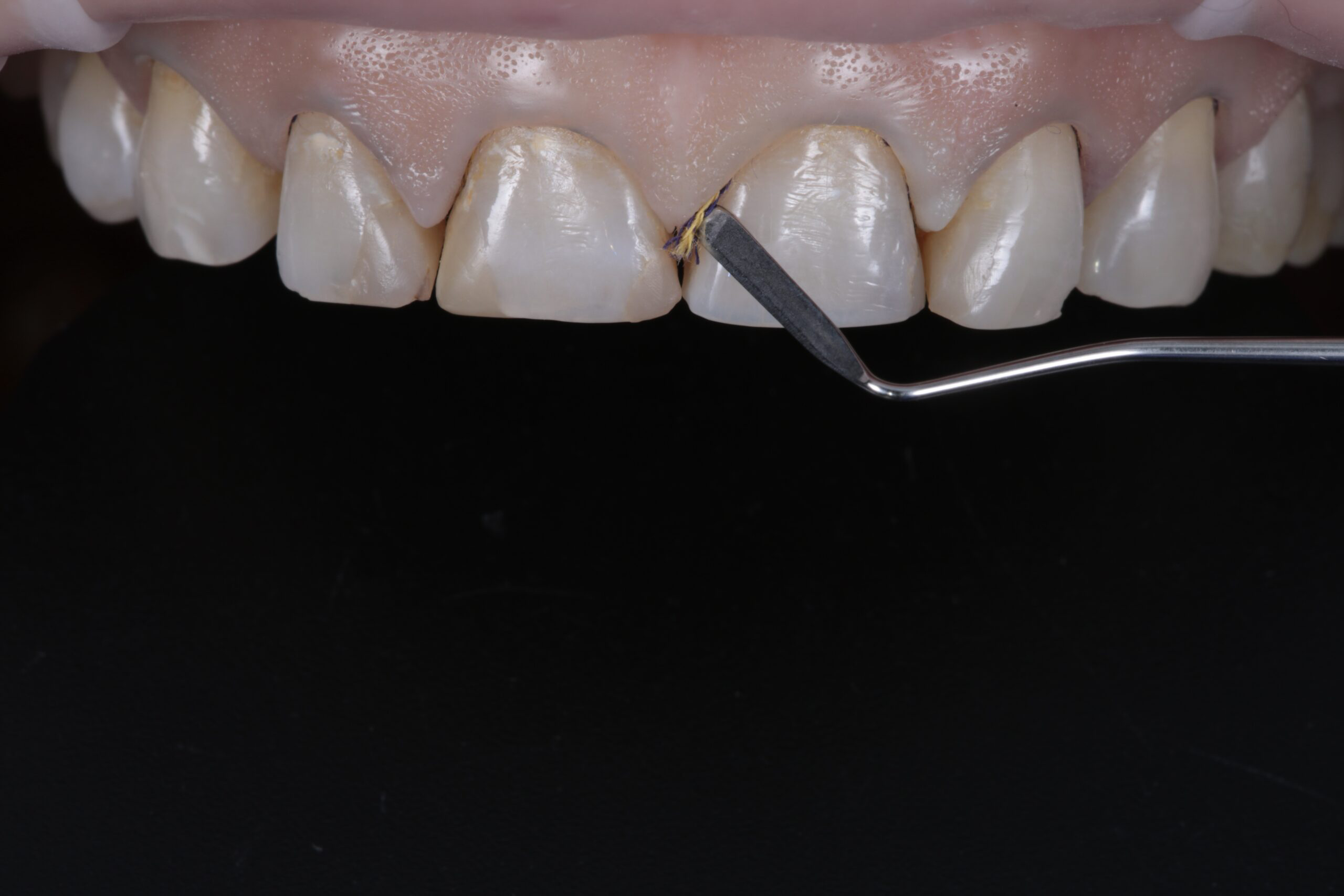
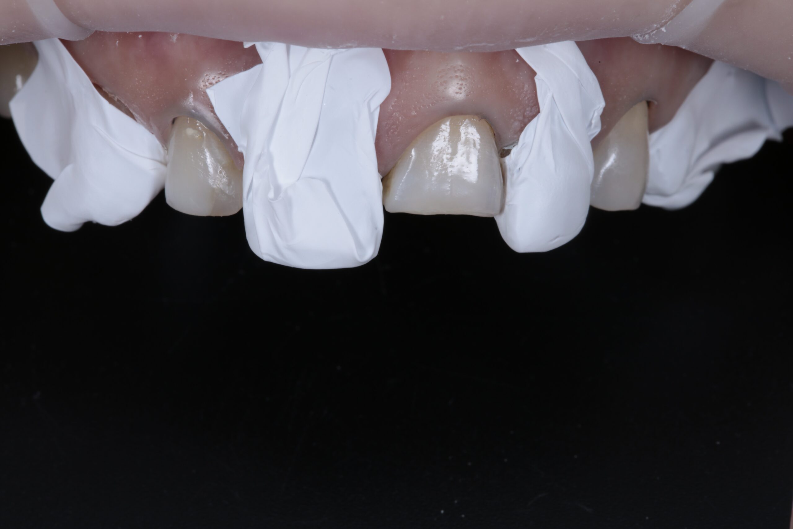
Gingival retraction with cord to control the humidity of the crevicular fluid and manage the marginal fit.

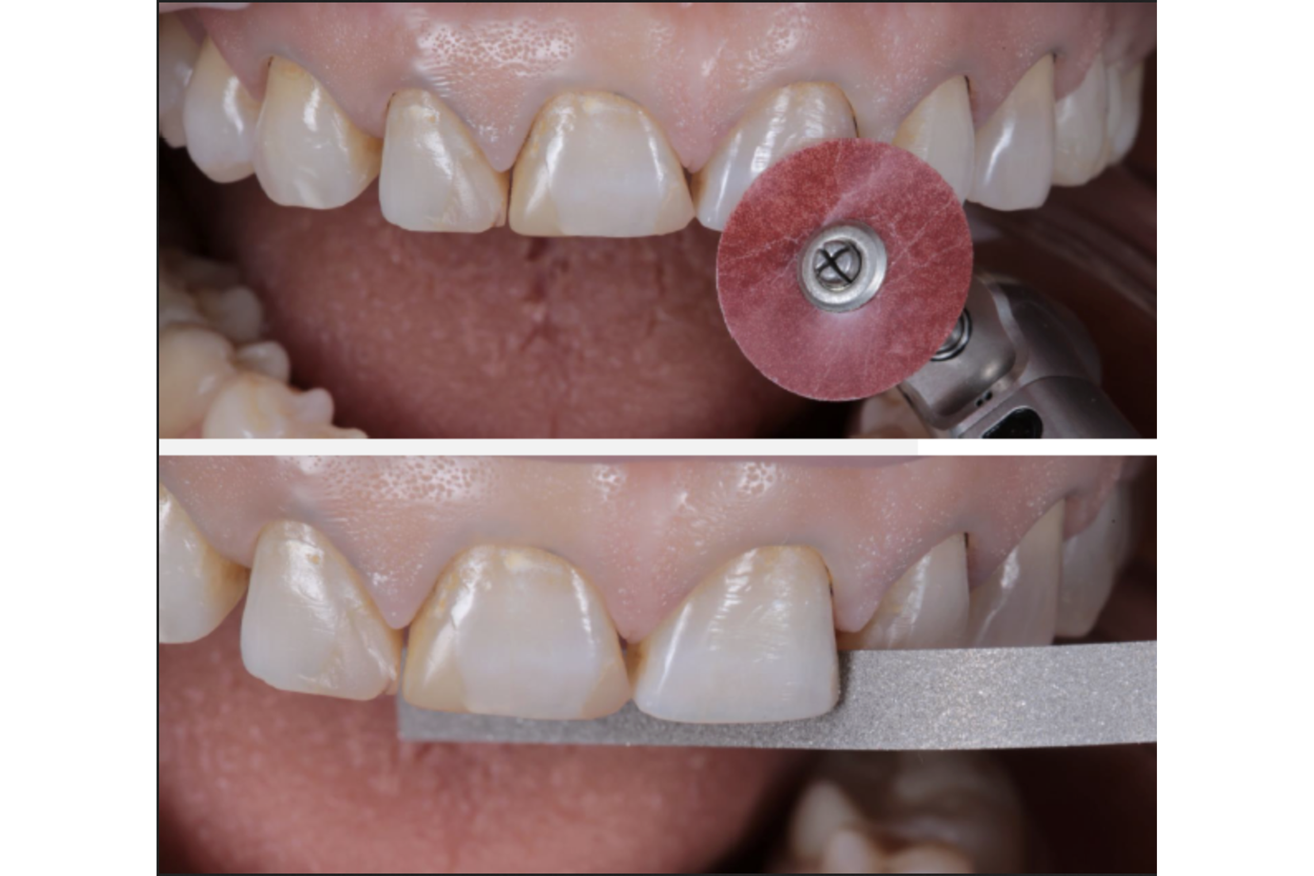
Remove the aprismatic layer of enamel with a 3M™ Sof-Lex™ coarse disc and the contact points with a metallic strip.

Adhesive procedure with total acid etching, as the substrate is enamel.

Apply phosphoric acid gel only on the teeth to be restored in the first phase (alternating teeth).

Apply a layer of 3M™ Scotchbond™ Universal Plus by rubbing the surface for 20 sec, air dry for 5 sec, and curing for 10 sec. Repeat the procedure on the teeth to be restored in the second phase.

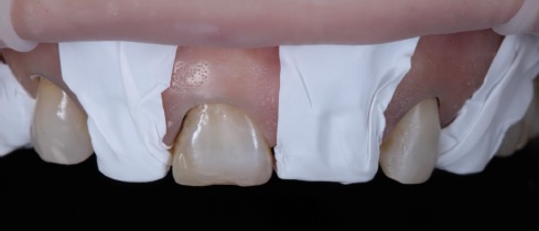
Protect the teeth that will not be restored in the first phase.

Place silicone key #1 in position and hold it firmly. Inject 3M™ Filtek™ Universal capsule warmed to a maximum of 70º C.

Cure each restoration for 20 sec through the silicone key and an additional 10 sec per surface after removing it.

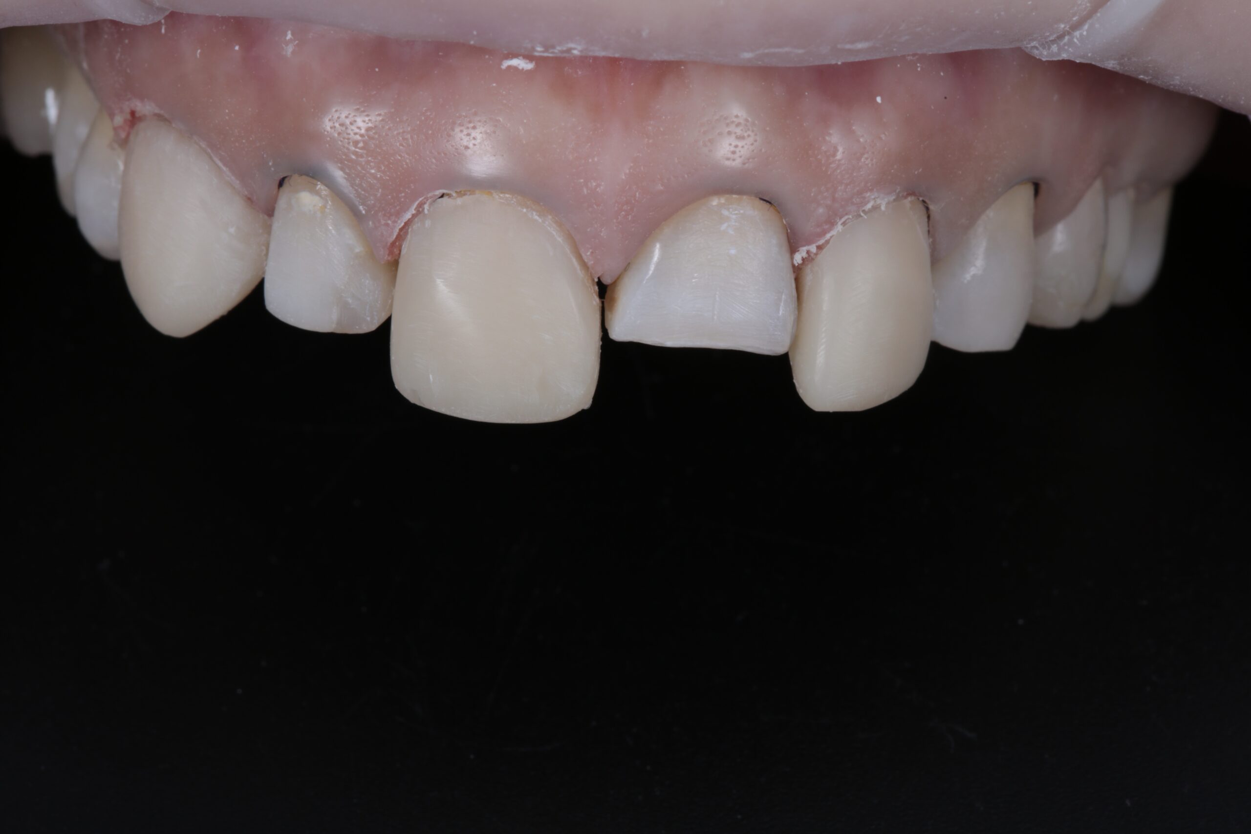
Result of the restorations from the first phase after a quick finishing.

Protect the restored teeth before placing silicone key #2 to restore the teeth in the second phase. Its ease of handling and fluidity when warmed make 3M™ Filtek ™ Universal Restorative the ideal material for this technique.

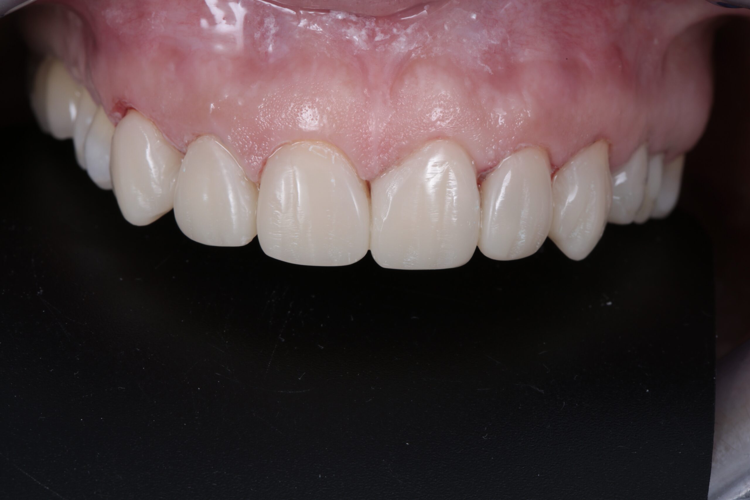
Final result after the finishing and polishing phase in a single appointment.

Become a part of our Brain Floss blog family and share your clinical case, your insights and your skills with this great community .

We are looking forward to hearing from you!!

The following products were used


Recommended for you


post preview image

Clinical Case: Bonding of a glass-ceramic overlay

post preview image

Clinical Case: Endocrown cementation with 3M™ RelyX™ Universal Resin Cement and 3M™ Scotchbond™ Universal Plus Adhesive

post preview image

Clinical Case: Post-orthodontic esthetic refinement with 3M™ Filtek™ Easy Match Universal Restorative

post preview image

Clinical Case: Restore form and function in extensive root caries with Solventum™ Filtek™ Easy Match Flowable Restorative